慎點!10個孩子裏5個長雙排牙!醫生感嘆,都是家長喂出來的……_風聞
东八区北京时间-不分东西南北,只知上下左右2018-08-27 08:09
乳牙自然脱落,恆牙隨後逐漸萌出,這是小朋友長到六七歲時必然要經歷的一個換牙過程。可如今,越來越多的小朋友出現換牙“程序”有點錯亂的問題,還沒等乳牙“下崗”恆牙就迫不及待“上崗”,於是,兩顆牙並排在崗,只能請牙醫通過“暴力”的方式強制要求乳牙“下崗”,否則將嚴重影響牙齒的美觀與健康。

在杭州口腔醫院兒童齒科,7歲的小男孩天天(化名)剛拔完牙,隨着麻藥勁慢慢過去他開始感覺到疼痛,起先是用力捂着嘴巴,後來實在忍不住了就撲進奶奶的懷裏哭了起來。
長在內側的雙排牙
聽接診醫生錢曉雲説,自去年11月以來,這已是她為天天拔的第四顆牙,原因都是同一個:乳牙還沒脱落,恆牙就已在旁邊長出來。
“雙排牙的問題現在在臨牀上很常見,我們碰到每10個小朋友至少有5個存在,有些好一點的乳牙已經鬆動,而有些厲害的乳牙紋絲不動,只能通過外力拔除。”錢曉雲醫生説,之所以會有越來越多的小朋友出現雙排牙,其實關鍵問題就出在家長的餵養方式上,太精細。

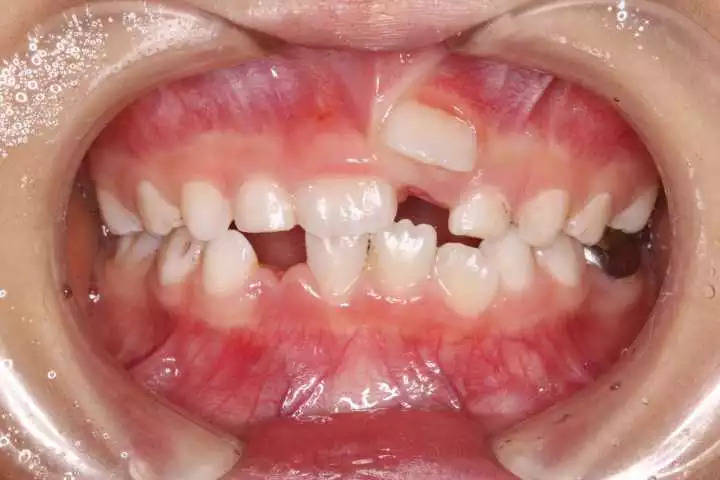
長在外側的雙排牙
就拿天天來説,錢醫生曾與他奶奶有過深入的溝通。小朋友從小就胃口不好,因此在餵養上大人向來非常上心,從6個月添加輔食開始,各種食物都是精心研磨,水果一直都是榨汁,最“偷懶”的也得去皮切塊。很少會有機會得用牙齒費勁的咬。
“牙齒就跟肌肉一樣用進廢退,尤其是小朋友在生長發育階段,更需要多鍛鍊。”錢醫生説,恆前牙一般都比乳前牙大1/3左右,如果不通過鍛鍊來促進頜骨的正常發育,恆牙就會因沒有足夠的空間長而排列不整齊,甚至是出現雙排牙。這也就是為什麼大家説“小時候牙齒太整齊換牙以後往往不太好看”。

關於“雙排牙”
“雙排牙”形成
主要與飲食有關
1.孩子的營養供給好,營養過剩,牙胚發育比以前早,往往恆牙長了出來乳牙還沒掉。
2.飲食過於精細,食物過於鬆軟,乳牙牙根未得到充分的刺激和鍛鍊,和牙槽骨緊密相連,不易脱落。
3.乳牙病變,乳牙齲壞嚴重造成乳牙根吸收障礙等情況造成乳牙不能及時脱落。
“雙排牙”危害大
嚴重或引發心肌炎腎炎
1.不利於牙齒清潔衞生,容易形成牙垢和牙結石,而造成孩子的口臭。
2.可能誘發齲齒、牙髓炎、根尖周炎等口腔炎症性疾病。
3.阻礙孩子的頜骨發育、咀嚼功能,影響面部美觀。
4.局部含有細菌微生物的慢性炎症病灶,其中的細菌及其毒素通過血管及淋巴管被帶到機體的一些器官和組織,當機體的抵抗力降低時,細菌生長繁殖,細菌毒素損害組織和器官,使這些遠離患牙的組織器官發生病變,引起機體一系列的疾病比如心肌炎、腎炎、心內膜炎、眼疾、風濕性關節炎等問題。
換牙前這樣的牙縫較合宜
錢醫生特別提醒各位家長,給孩子的飲食別太精細,應多給些原生態的食物讓孩子鍛鍊牙齒與頜骨。
如果你的孩子目前正處於幼兒園中大班的階段,趕緊看看他們牙齒間有沒有足夠的縫隙。如果沒有的話,適當增加牛肉乾、豆子等堅硬的食物讓孩子多用大牙嚼嚼,促進頜骨發育,應該在孩子10歲前都還有機會。而如果你的孩子這會已經出現雙排牙且乳牙有些鬆動,那麼可以多吃玉米和蘋果,注意是用門牙咬,也對恆牙的整齊美觀有幫助。
(中國經濟網)
雖然圖片真的很不適,但是真的是被科普了,為人父母,一定要留意這方面了。