轉:乳酸可以改善脱髮……_風聞
京雀-(装?)抑郁家里蹲2019-07-19 22:02
美國加利福尼亞大學洛杉磯分校的研究人員Heather Christofk(生物化學、分子和醫學藥理學副教授)和William Lowry,在認識到
【毛囊幹細胞從血液中吸收葡萄糖,經過代謝,葡萄糖變為丙酮酸。這些丙酮酸一部分被細胞運輸進線粒體,在線粒體中,丙酮酸進一步的代謝能夠為細胞提供能量,另一部分丙酮酸將在細胞內進行後續的變化,產生新的代謝產物——乳酸】後,
做了一些實驗。譬如敲除小白鼠合成乳酸的基因,結果見到小白鼠不長毛(恐怖的科學家,一言不合就敲或加基因);
或者給普通的未修改基因但有脱毛症狀的小白鼠餵食能刺激乳酸分泌RCGD423,以及減少丙酮酸運輸進線粒體的藥UK5099,然後見到小白鼠能重新長毛,於是得出結論,乳酸可以改善脱髮。
不過那倆藥物還未經過人體試驗證明毒副作用可以接受,所以還沒有上市。

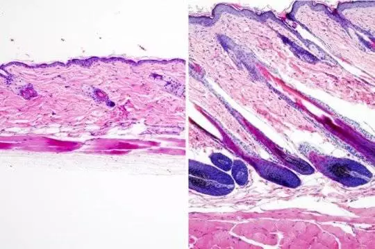
圖片來自原文:https://huanqiukexue.com/a/qianyan/shengwu__yixue/2017/0825/27478.html
左邊的是嗑藥前的小白鼠的皮膚,右邊是嗑藥後長出毛的。
————
讀到這裏之後有個怪想法,把酸奶往頭皮上抹從外部補充乳酸可以嗎?搜了搜,確實有個叫脱髮人的網站裏提過用酸奶當護髮素:http://tuofaren.com/a/a_322?from=groupmessage
不過他們的説法是補充維生素啦,益生菌搶佔有害菌生存空間啦,乳酸中和鹼性洗髮水減少傷害啦,並未提過乳酸直接刺激毛髮生長的理論……也沒説這可以治療或者預防脱髮……因此雖然有這麼做的人,但具體有沒有治脱髮效果不知道。
呃,總之是個無責任轉載,有興趣的髮際線開始收縮的人可以試試看……