新冠病毒長啥樣 顯微鏡下的“百變形象”_風聞
乐福-自由繁荣的新中国永远在路上2020-02-15 04:25
**新冠病毒的“百變形象”**中國微生物組數據中心(National Microbiology Data Centre)在1月底就發佈了新冠病毒在電子顯微鏡下的圖像,而病毒是從武漢的2名患者體內提取的。
系列編號為NPRC 2020.00002的新冠病毒圖像。/中國微生物組數據中心
美國國家過敏與傳染病研究所(NIAID)2月13日在網站公佈了新冠病毒在電子顯微鏡下的一組圖像。
掃描顯微鏡圖像:橙色的部分就是引發新冠肺炎的冠狀病毒。/NIAID-RML
病毒是微小的感染性斑點,由包裹在蛋白質外殼中的DNA或RNA組成。它們太小,無法通過一般的光學顯微鏡看到。NIAID通過掃描電子顯微鏡和透射電子顯微鏡獲取新冠病毒的基本圖像,然後機構中的視覺醫學藝術辦公室再對圖像進行電子化上色。
透射顯微鏡圖像:暗黑色圓形物的為新冠病毒。/NIAID-RML
NIAID表示,新冠病毒的圖像看起來和2012年暴發的MERS病毒以及2002年出現的SARS病毒很相似,這並不奇怪,因為這類病毒表面的突起物讓其擁有了“冠狀(corona)”的名稱,是“王冠(crown)”的拉丁文,所以所有冠狀病毒基本都有這樣的形態特點。
美國疾病控制中心(CDC)則創造出了一個可視化新冠病毒立體模型,結合了新冠病毒在顯微鏡下的形態以及日食的圖像。
CDC 創建的新冠病毒立體模型
香港大學的團隊近日也公佈新冠病毒圖像,港大病理學臨牀教授約翰·尼科爾斯(John Nicholls)表示,每一個受感染的細胞都會產生數千個新的傳染性病毒顆粒,這些顆粒會繼續感染新的細胞。
香港大學在推特發佈的新冠病毒圖像
港大科研人員正在研究不同時間點的樣本,以便更好地瞭解新冠病毒與其他冠狀病毒的不同之處。
而澳大利亞彼得·多爾蒂傳染病與免疫研究所在社交媒體平台發佈了一段視頻,顯示了新冠病毒在細胞培養實驗中的狀態。
給致命病毒“畫像”的人
據美國科技網站ScineceFriday報道,辛西婭·戈德史密斯在美國疾控中心(CDC)工作超過35年,她負責將各種病毒視覺化,協助科研人員的研究工作,而多數病毒都是致命性的。
“我不會去思考疾病本身,只關注病毒的樣子,當我把病毒視覺化之後,總覺得有點對不起感染者。”辛西婭説。
辛西婭·戈德史密斯正在處理病毒圖片。/CDC
她的日常工作器具包括透射電子顯微鏡、實驗室級微波爐以及幫助將樣本嵌入樹脂的烤箱,她利用黑白兩種顏色創建出病毒的各種視圖。
辛西婭説,病理學家通常會給我一個病毒樣本,然後我通過顯微鏡觀察,可以告訴他們這種病毒屬於哪一科,幫助他們去識別皰疹病毒、痘病毒、正粘病毒等。
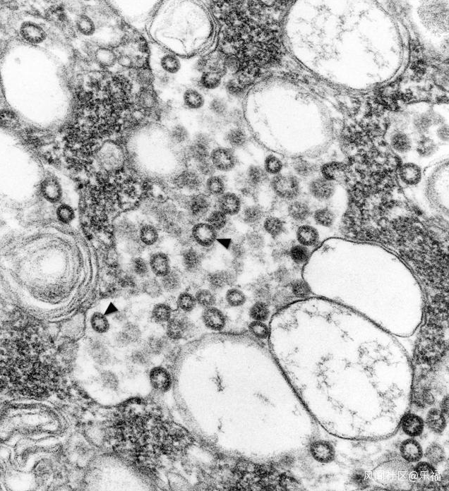
2003年,SARS病毒剛剛暴發時,辛西婭從CDC拿到了病毒樣本,“這種病毒的表面缺少細節,看起來是一個普通的球體,通過透射電子顯微鏡的仔細觀察,從形態上可以認定它屬於冠狀病毒。”這一結論幫助CDC的專家迅速展開有針對性的冠狀病毒實驗。
黑色箭頭標註的就是SARS病毒。/CDC








