21歲小夥喝出心衰,功能飲料多喝“有毒”?_風聞
医学界-医学界官方账号-为你提供可靠、有价值的内容是我们的存在方式。2021-04-18 22:06
萬般皆下品,唯有白水好
撰文 | 一條錦鯉
熬夜加班,不少人靠着功能飲料“續命”。
按現行國家標準《飲料通則》,功能飲料屬“特殊用途飲料”類別,包括運動飲料、營養素飲料、能量飲料等。其成分複雜,除咖啡因、牛磺酸、維生素等,還可能含有人蔘、植物提取物,好像一碗“十全大補湯”。
歐睿國際(Euromonitor lnternational)數據顯示,2014年-2019年,我國功能飲料銷售額複合增長率高達15.02%,是增速最快的細分品類之一。僅2019年的銷售額即達458.21億元。
但這匹被視為“飲料賽道黑馬”的“種子選手”,長期以來被醫學界詬病“喝太多要命”。
近日,《英國醫學雜誌·病例報道》刊文稱,一名21歲壯小夥,拿功能飲料當水喝,喝出心腎衰竭,被收進醫院ICU。“患者沒有心梗、心肌病等導致心衰的常見病因。其次,沒有攝入其他心臟毒性物質。最關鍵的是,出院後,他停止飲用功能飲料,心功能出現明顯好轉。綜上,我們可以認為患者進ICU的根本原因,就是長期過度攝入功能飲料。”文章解釋道。
好慘一小夥
“患者,男,21歲。因進行性氣短、腹部腫脹入院。主訴近4月來,有活動後氣短症狀,且症狀漸進性加重。同時,為減輕呼吸困難被迫端坐或半卧(簡稱端坐呼吸)。體重減輕,常感疲憊。3月前,因咳痰和發熱於家庭醫生處就診。家庭醫生予以口服抗生素治療。用藥後患者症狀無明顯好轉。由於近3月來狀態極差,已經中斷學業在家休息。
無慢性病史、無家族史。3年前已經戒煙。否認飲酒和物質濫用史。但值得我們注意的是:患者4年來,每天都會攝入4*500ml的能量飲料。經細節病史採集發現,其經常服用的能量飲料每瓶含160mg咖啡因,還有牛磺酸等成分。”《英國醫學雜誌·病例報道》文章如是寫道。
入院後的進一步檢查顯示,這名小夥情況棘手:除端坐呼吸,有下肢凹陷性水腫及腹水。存在腎衰伴尿瀦留,肌酐562umol/L、尿素47.4mmol/l。影像學證實患者存在雙側腎積水,需要外科介入以解決尿路梗阻。
心電圖無特異性表現。但超聲心動圖顯示,左心室擴張伴射血分數嚴重降低,雙側射血分數降低(11%)但不伴左心室肥厚。右心室有輕微擴張伴收縮功能障礙,雙側心房有擴張表現,同時存在二尖瓣反流、三尖瓣反流及心包積液。同時,患者還存在雙側心室血栓,醫生迅速給予靜脈肝素抗凝治療。

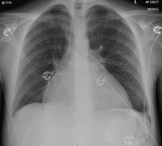
圖:入院胸部X光可見心影擴大/BMJ case report
由於存在循環衰竭,小夥被轉移至英國當地的一家大型綜合醫院。
接下來,又是一系列壞消息:入院檢查發現他存在低灌注所致腦梗及尿毒症腦病,急需血透處理。入院3天后,接受雙側腎造瘻,但短時內腎功能無顯著改善,於是被收入ICU,進行透析並做支持治療。
在ICU的治療十分波折。在接受靜脈普通肝素抗凝期間,小夥出現血小板計數進行性下降。入院後12天,達最低值26×109/L。醫生考慮其出現肝素誘導的血小板減少,於是換藥,血小板數量慢慢上升。
另外,考慮其存在心腎功能衰竭,病情穩定後,ICU邀請心內科、心外科、腎內科及泌尿外科會診。專家們討論認為,患者經腎造瘻後腎功能有緩慢好轉,可暫停透析並等待觀察,暫不考慮行腎移植。右心導管測心輸出量後,認為其心功能有顯著改善,暫不需要心臟移植或循環支持。

圖:患者入院期間肌鈣蛋白T變化(左)和肌酐變化(右)/BMJ case report
入院58天后,小夥的病情終於穩定,能出院了。
此後,他需要服用數類藥物,包括華法林、卡維地洛、速尿、硝酸異山梨酯、肼屈嗪、蘭索拉唑以及口服營養製劑。還被要求繼續在心內科、腎內科和泌尿外科隨訪。
出院2月後,門診複查心臟核磁共振,發現其左室射血分數改善至18%。9個月後的超聲心動圖顯示左室射血分數進一步改善至51%,右室功能正常。

患者在院時及出院14天后血液指標一覽/BMJ case report
功能飲料受害者,還有很多!
《英國醫學雜誌·病例報道》文章分析,這位小夥並不是功能飲料“唯一”受害者。很多病例報道和綜述都關注過功能飲料的心血管毒性,相關“受害者”有的發生心衰,有的出現心肌病。
據英國《每日電訊報》2008年報道,英國一名40歲男子突發心臟病死亡。調查顯示,該男子每天上夜班必喝大量功能飲料,死亡當晚喝了至少4罐(500ml/罐)。
2016年,《美國急診醫學》雜誌發表阿拉巴馬大學伯明翰分校病例報告,詳細説明一名57歲男性在飲用功能飲料後15分鐘,出現顱內出血的情況。“該男子説,那是他第一次喝功能飲料”。
美國藥物成癮警報網還有數據表明,2011年,美國因為功能飲料看急症者,高達2.1萬人。
功能飲料對機體造成不良影響的原因,尚不明確,部分原因在於其成分太複雜。2015年,JAMA子刊發文稱,哪怕只是喝一罐功能飲料,都可能增加心臟病風險。一罐450毫升的功能飲料含大量糖、咖啡因、牛磺酸和植物萃取物等。雖然不同品牌成分不同,但不能用飲料的標準進行監管。
目前可以確定的是,功能飲料中高濃度咖啡因具有正性變時和正性肌力作用,能作用於心臟腺苷受體並增加兒茶酚胺的釋放。這或導致長期的交感神經過度刺激,與應激性心肌病關係密切。交感興奮除了直接導致心肌病,還會誘發如房顫、室上速等心律失常。這也是加速心肌病向心衰發展的誘發因素。
2019年,《美國心臟協會雜誌》發表一項18-40歲者研究。結果顯示,飲用功能飲料後4小時,受試者心率明顯加快,血壓顯著提升。研究人員建議,公眾應該意識到功能飲料對自身健康的負面影響。有先天性心臟疾病、獲得性長QT綜合徵、高血壓患者,應限制飲用。不建議18歲以下人羣飲用功能飲料。
功能飲料含糖過多
除了咖啡因,讓功能飲料更好喝的“功臣”,還有大量添加的糖。
100mL飲料中的糖含量超過7.5g,即為高糖分飲料。2020年9月,深圳市福田區、寶安區消費者委員會聯手,對10款功能性飲料進行比較試驗,發現9款含糖量超10g/100ml,平均含糖量為11.7g/100ml。其中有一款維生素飲料含糖量為75.5克/罐,飲用一瓶,攝入糖含量就超出每日推薦攝入量的上限。
糖的過度攝入已然成為醫學界重點討伐對象。在國家層面,包括愛爾蘭、法國、墨西哥及英國在內等多個國家和地區,已宣佈對含糖飲料徵税。
以墨西哥為例,該國於2014年開始收“糖税”。該政策出台直接影響含糖飲料的消費量,頒佈後第一年消費量下降超過5%,第二年下降將近10%。有研究稱,到2022年,該國因糖分攝入下降所導致2型糖尿病新發病例,將下降近20萬例,卒中及心血管事件或減少2萬多例,預計死亡人數會減少1.89萬人。至此,“糖税”不僅給國家帶來額外税收,還會給墨西哥省下近10億美元醫療支出。
本文開篇故事告訴我們,萬事萬物均講究度。若沒有高強度運動,還是少碰或不碰功能飲料。有事沒事喝2升,一喝就是4年的“酗飲料”行為,更是絕對不可取的。
參考資料:
1.Fisk G,Hammond-Haley M,D’Silva AEnergy drink-induced cardiomyopathyBMJ Case Reports CP 2021;14:e239370.
2.Heavy energy drink consumption linked to heart failure in a young man https://www.eurekalert.org/pub_releases/2021-04/b-hed041321.php
3.如何看待糖税(Sugar Tax)?譯言
4.https://www.zhihu.com/question/35402450/answer/826727721
5.A Randomized Trial of Cardiovascular Responses to Energy Drink Consumption in Healthy Adults.JAMA.2015;314(19):2079-2082.doi:10.1001/jama.2015.13744
6.Impact of High Volume Energy Drink Consumption on Electrocardiographic and Blood Pressure Parameters:A Randomized Trial.Journal of the American Heart Association.2019;8:e011318.doi.org/10.1161/JAHA.118.011318