當媽媽成為我的病人..._風聞
我想逗乐这个闷闷的世界-搞笑博主、医生-愿世界更欢乐2021-05-28 13:35
“喂?你説什麼?讓我兒子接電話?”
媽媽手機響了,電話那頭不知道在跟她説什麼。
壞了,我心裏有一種不祥的預感。
接這個電話的兩天前,我把老媽和老爸從老家接到上海,帶他們看一看自己一輩子積蓄給兒子付了大半首付的郊區小房子,順便給他倆全面體檢一下。
“喂,你好。”我接過了電話。
“請問是劉女士的家屬麼?我們這邊是XX體檢中心。”
“是的,我是她兒子。”
“是這樣的,您的母親胸部CT發現了肺結節,報告醫生説有點問題,所以通知您儘快找胸外科醫生看一下。”
“我就是胸外科醫生。”我冷冷地説道。
“啊?”對面明顯吃了一驚,估計心裏想你怎麼不按套路出牌。
“這樣啊,那就不用多説了,您有空來取一下報告和電子影像吧。”
“好的。”我掛斷了電話。
旁邊的媽媽什麼都沒察覺到。我們繼續排着隊,等着看野生動物園的獅子和老虎。
他倆沒見過這陣仗,東瞅瞅西看看,興奮得不行。我坐在遊覽車上,心思全無,滿腦子都在想老媽的CT報告,心中一團亂麻。
慌神了一陣之後,我強迫自己鎮定下來。接下來第一步,就是抓緊看一下CT結果。去體檢中心必須要下週二,太久了,來不及了。我跟老婆商量之後,直接帶着老媽來到了醫院,老媽在醫院裏遠遠地跟着我,手足無措,像極了她帶我去小學報道的樣子。我給她掛了號,拍了一個胸部CT。
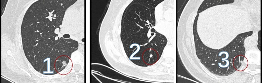
我點開醫生工作站上那個自己最熟悉的名字,然後打開了PACS影像調閲,看到了老媽的右下肺。
一,
二,
三。
竟然有三個結節。第一個已經很大了,接近2cm,形態就不太像好東西;第二個雖然是實性結節,好在邊緣比較光滑,像是良性的;第三個雖然比較小,但也是混合磨玻璃結節,還有實性成分,密度不低。

老媽右下肺的三個結節
壞了,老媽估計要挨一刀了。
因為自己經驗還比較少,第二天早上,我又把老媽的片子給全科的醫生看了一下,這種全科討論的待遇也是超級豪華待遇了。主任也在,他是上海灘頂級的胸外科專家。
“看起來不太好,不過是第一次發現,還是抗炎治療看一下,一個月之後再複查。”主任下了結論。
我給老媽開了抗生素,把她送上了回老家的火車,對她説肺裏有個結節,問題不大,可能是炎症,先消消炎。
一個月之後,複查CT,無任何變化,很大可能是肺癌。
不過好在還是磨玻璃結節,大小也沒超過2公分,胸部CT沒看到淋巴結腫大,應該是早期肺癌。
本來是覺得老爸抽了40年的煙,想給他查一下胸部CT,萬萬沒想到卻是老媽發現了肺結節。轉念一想,也是不幸中的萬幸,要是不做這個CT,估計一年半載就要發展到晚期了,到時候就麻煩了。
我長吁一口氣,得趕緊安排住院手術。我跟主任説好住院和手術日期,把老媽從老家接了過來,然後又給她測了核酸、開了住院。
週一一大早就到科裏辦住院。
護士姐姐們笑嘻嘻地看着我,估計心裏想着你這平時吆五喝六的貨,也有落在我們手上的一天。
一個妹子拉着媽媽過去抽血,另一個妹子讓我簽署各種住院需知。
我一看,好傢伙,家屬簽字和談話醫生,都我一個人。

咄咄怪事:委託代理人和談話醫生是一個人
簽好了字,就是術前檢查了。心電圖、B超、肺功能,也不用阿姨了,我帶着老媽就去做了。雖然穿着白大褂,但也不太好意思插隊,老老實實排隊做完。
手術前一天,談話簽字。我的上級醫生曹老師看到我,把病歷夾直接丟給我,“我忙着呢,沒空搭理你,自己拿去簽了吧!”
啊喂,我也是家屬好吧,能不能態度好點。算了算了,上級老師不敢忤逆,我拿着Chart,帶着老媽來到辦公室,有模有樣地給她講了講手術,然後在病員告知書、知情同意書、輸血治療同意書上籤了自己的名字。

借用別人的圖,給老媽術前談話
只不過,這次不是談話醫生簽字,而是家屬簽字。
這種感覺,還蠻奇妙的。簽字的時候,我突發奇想,要是談話醫生簽字也是我自己,真出了手術意外,到底誰負責?我對我自己負責?
呸呸呸,沒有意外,不可能有意外,我暗暗唾了自己一口。
過了一會,護士妹子通知要做手術前的宣教了,我也準備過去聽聽。
“誒誒,你把白大褂脱了。”一旁的孫老師提醒我。
“哦哦,穿着白大褂不方便是吧?”
“不是你不方便,是家屬們看到了緊張。”孫老師還是一如既往地為病人考慮。
也是,做宣教的時候旁邊站個醫生一塊聽還是有點尷尬的。我脱了白大褂,鑽在一羣家屬中,一起聽護士宣教。

你別説,第一次聽,講得還挺好,注意事項和細節都講到了,包括術後體位、拍背咳痰,我自己也是受益匪淺。
萬事俱備,只欠手術。
第二天一早,手術室就來接我媽了。我目送着老媽被推進了手術室,看着家屬等待區烏泱泱的家屬們,心裏冷哼一聲。
轉頭直接刷卡進了手術室,換了衣服來到了老媽的手術間。
“媽?”我穿着洗手衣,戴着口罩帽子看着她。
她一開始沒認出來我,後來才看出來是我,嘴唇囁喏着有點害怕。
“沒事的,睡一覺手術就做好了。”我安慰了她幾句,然後又和麻醉老師打了個招呼,在麻醉單上籤了個字。
不出意外的話,這應該是麻醉老師第一次在手術室讓家屬簽字。

簽完了字,看了看錶,主任快下來了。心裏糾結了半天,決定還是不看手術了。手術前,他們開玩笑,讓我上台扶鏡子、縫皮。
啊喂,這是親媽耶,這誰下得去手。
我趕緊拍屁股溜出了手術室,省得被主任抓到,讓我上台,這就尷尬了。
回到病房,心裏估算着手術進程,雖然知道老大上台,問題不大。但以往手術意外大出血的場景還是浮現在我的面前,心率也跟着提高了不少。我這人就愛瞎想,每次坐飛機也是害怕掉下來。
我正遐想着呢,一個微信彈出來了,主任親自通知我手術做好了。

真是受精,哦不,受寵若驚。而且手術速度也太快了,從切皮到關胸,不到一個小時,這可是一個肺段切除+楔形切除+淋巴結采樣啊!
又過了兩個小時,媽媽被送回了病房,要轉運到牀上。呵,這對於我和老婆就是小case,畢竟她是前資深監護室護士了,我也是在心外監護室待過的住院。我倆手腳麻利地把老媽弄到了病房,並且配合接好了管路。
氣管插管已經拔除,她還是迷迷糊糊的。手術後兩個小時不能睡覺,防止麻醉後的誤吸。
“媽!”,“媽!”,我過一會就叫她一下,過一會就叫她一下。
媽媽躺在牀上,眼睛微閉,離家十幾年,終於也有機會好好看看她了。
媽媽年過六十,皺紋多了好多,我拿起棉籤沾了沾水給她潤潤嘴唇。這場景,突然讓我想到,二十多年前,自己半夜高燒腹瀉,媽媽揹着我去診所掛水,彷彿就在昨天。
到了晚上,主任手術全部結束了,來病房查房。
“你好啊,王母娘娘,感覺怎麼樣啊?”
我媽:???

主任知道我媽住院,給她起了個外號,叫王母娘娘,因為我姓王。真是一個冷氣十足的老梗啊!
“謝謝主任,真的太感謝了,她感覺很好。”我趕緊呵呵笑着回答,和後面跟着醫生一起笑起來,讓一箇中年成功男人滿足於自己的冷笑話。
主任把我拉到了一旁,跟我説,三個結節術中冰凍,第一個是浸潤性腺癌IAC,第二個是錯構瘤,第三個是微浸潤的腺癌,跟之前預想的差不多。還好發現的早,術後也沒什麼大事了,不用放療化療,5年生存率也接近100%。
從某種程度上説,我救了媽媽一命。
這是我這個三十歲大齡規培生,學醫十二年,最大的收穫。