什麼腫瘤如此兇險,兩週內就長滿了肝臟……_風聞
推医汇-汇聚健康行业资讯,推动学术交流。2021-05-28 11:50
臨牀上,我們見到的大多數腹部巨大包塊患者,往往是延誤治療導致的,而今天要跟大家分享的一個病例,腫塊從出現到長滿肝臟,只有兩週……到底是什麼病,進展如此之快?

消化科來了位中年男子,腹部巨大包塊……
男子面容蒼黃,全身乏力。查體時發現他的腹部有一個巨大的包塊,質地堅硬,如同一個鐵鍋倒扣在了他的腹腔。
這麼硬的包塊,十有八九都是惡性腫瘤所致。
我們詢問患者,“這個包塊出現有多久了,為什麼不早點兒到醫院來看病呢?”
患者説,“這個包塊的出現僅僅只有兩週時間,包塊長得很快,肚子脹得難以進食,所以趕快過來看病。”
兩週時間就長出來了這麼大的腫塊?是不是患者搞錯了?仔細詢問患者及家屬,均表示包塊確實是兩週內長出來的。
外院的腹部CT提示這個包塊其實是腫大的肝臟,懷疑是肝臟轉移癌。我們先做了超聲造影,發現確實是肝臟轉移癌。由於患者未提供其它不適的症狀,我們在預約強化CT尋找原發灶的同時,進行了肝臟穿刺活檢。

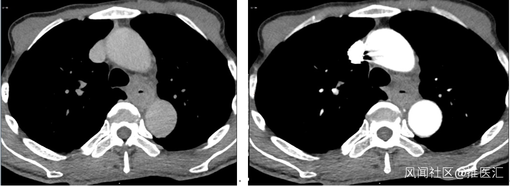
圖1:胸部強化CT圖片;A.靜脈期;B.動脈期

圖2:腹部強化CT圖片;A.動脈期;B.門脈期
強化CT的結果發現食管佔位,肝臟多發轉移癌。肝臟穿刺活檢的病理結果提示為惡性腫瘤,形態像是小細胞癌,需要做免疫組織化學檢測進一步確定。
結合多項檢查結果,迷底最終揭開
免疫組織化學的檢測結果符合小細胞癌的特徵。
胃鏡檢查結果發現食管中段確實有惡性腫瘤,食管的病理檢查結果同樣是小細胞癌。至此謎團才完全解開,患者患的是一種惡性程度較高的少見的食管惡性腫瘤,原發性食管小細胞癌(primary esophageal smallcell carcinoma,PESC)。
小細胞癌是多在肺內發生的一種惡性度較高的腫瘤,肺外小細胞癌比較少見,僅僅佔小細胞癌的2.5%~4.1%,而食管是肺外小細胞癌的好發部位。PESC屬於低分化型食管神經內分泌腫瘤,是食管的一種罕見腫瘤,僅佔食管癌的0.4%~2.8%,其惡性程度高,5年生存率極低。

圖3:患者的NSE結果
PESC患者多為50~70歲的中老年人,男性多於女性。其臨牀表現與其他類型食管癌相似,可出現類癌綜合徵,如面色潮紅、水腫、腹瀉、痙攣性腹痛等,血液檢查NSE升高。我們的患者是個57歲的中年男性,無類癌綜合徵的症狀,腫瘤系列顯示NSE顯著升高。

圖4:患者的其它腫瘤系列結果
PESC的分期可採用兩種方法,一個是食管癌的TNM臨牀分期,另一種方法是根據美國退伍軍人醫院和國際肺癌研究會標準分期方法,區分為侷限期(Limited disease,LD)和廣泛期(extensive disease,ED),LD指無淋巴結轉移或僅有區域淋巴結轉移,病變僅侷限於食管及食管周圍組織;ED指病變有遠處淋巴結或遠處臟器轉移。
PESC最常見的轉移部位是肝臟,其次是肺轉移和骨轉移。我們這位患者就是以迅速的肝轉移引起的腹腔臟器受壓導致的症狀前來就診的。
PESC在光學顯微鏡下與肺小細胞癌很相似。腫瘤由小的間變細胞構成,體積類似於小淋巴細胞,分裂像易見,胞漿極少。PESC的免疫表型呈上皮和神經內分泌雙重特徵。
根據2010年世界衞生組織(WHO)消化道神經內分泌腫瘤的診斷標準,PESC的診斷必須滿足以下4點:
①在HE染色下腫瘤細胞形態及結構符合小細胞癌的特點;
②Ki67陽性指數大於20%或核分裂像大於20個/高倍視野;
③免疫組織化學檢測神經內分泌標誌物,如Syn、CgA、CD56、NSE等,至少有一項必須是陽性;
④排除存在其他部位的神經內分泌癌。我們的患者這四項診斷標準全部符合。
目前對於侷限期的PESC首選手術治療,手術原則同其他食管腫瘤。對於已經出現遠處轉移的廣泛期患者,化療+放療的綜合治療效果明顯優於單純治療。聯合使用內分泌治療和靶向治療可明顯延長侷限期患者的生存時間。

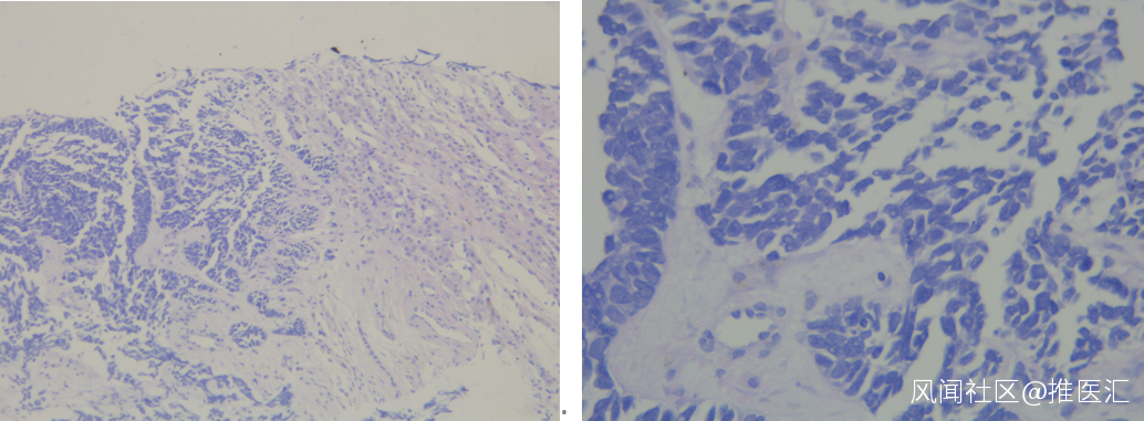
圖5:患者的肝穿刺活檢HE染色病理結果A.x20倍B.x40倍

圖6:患者的食管腫瘤Syn免疫組化報告;A.x20倍;B.x40倍
很可惜,我們的患者是已出現肝臟轉移的廣泛期患者,而且肝臟內佈滿了轉移癌,肝功能極差,已經無法進行手術,也耐受不了化療、放療和靶向治療等這些積極的治療方法,只能採用一些藥物來緩解患者的痛苦。面對這種患者,我們醫生是既痛心又無奈。
參考資料:
[1]Zhu Y,Qiu B,Liu H,et al.Primary small cell carcinoma of the esophagus:review of 64 cases from a single institution.Dis Esophagus.2014;27(2):152-158.
[2]吳曉,楊海軍,高社幹,周福有,張灝.原發性食管小細胞癌的研究及診療現狀.食管疾病,2020,2(1):8-12.
[3]吳晗,高社幹.原發性食管小細胞癌48例臨牀分析.食管疾病,2020,2(2):141-145.
[4]侯宏霖,聶彩雲,王茂勳,曹亮,呂慧芳,陳小兵.原發性食管小細胞癌82例臨牀特點分析.中國醫學前沿雜誌(電子版),2020,12(3):72-77.
[5]夏伊麥爾旦·伊不拉音,宋朋,高樹庚.原發性食管小細胞癌的治療及預後分析.中華腫瘤雜誌,2020,42(8):670-675.