看完骨科醫生打牽引,我整個人都不好了_風聞
我想逗乐这个闷闷的世界-搞笑博主、医生-愿世界更欢乐2021-07-12 14:16
昨天骨科值班,生意不錯,急診收了快10個病人。
不是胳膊斷的,就是腿斷的,實屬可憐。我作為一個小小的輪轉醫生,任務就是把病人收進來,簡單問問病史,把入院常規檢驗檢查開掉就可以了。
到了11點,值班Call機又響了,來新病人了。
我來到護士站,看到一箇中年男人坐在輪椅上,男人皮膚曬得黝黑,穿個髒兮兮的背心,褲子也爛糟糟的,估計是幹體力活的。透過褲子可以看到他的小腿腫脹嚴重,看樣子傷的不輕,託具已經在急診固定好了。看了他的名字,姓黃。
“老黃,你什麼時候傷的?怎麼傷的?”我照例詢問道。
“嗨!別提了,就在你們醫院傷的。下午給你們送液氮瓶,最後一瓶,我都想好了送完這瓶就下班。結果,你們醫院催的厲害,非要我快點送,我沒弄好,鋼瓶砸下來了,把腿砸斷了。”
“所以,還是不能立Flag。”我忍不住説出口。

送完這個鋼瓶,我就下班
“什麼?”他疑惑不解。
“沒事兒,沒事兒,那你糖尿病、高血壓、心臟病有麼?”
“沒有沒有,什麼病都沒有!”他連連擺手道。
“以前開過刀麼?平時吃什麼藥麼?對什麼藥物過敏麼?”
“沒有沒有,沒開過刀,什麼藥都不吃。”他有點不耐煩了。
“吸煙喝酒呢?”
“誒呦,那可厲害了。”他老婆在一旁開腔了。
“多少年了?一天一包有麼?”
“幾歲啊,我就開抽了,40年有了吧,一天一包那是肯定的。”他説起這還有點驕傲,甚至有點想再點上一根。

“行了,手續辦好就去病房待着吧,估計沒那麼快手術,還要消消腫,等明天你們牀位醫生來了跟你們講。”
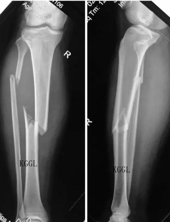
我打開慢的要死的電腦和卡的不行的工作站,調出他的片子。好傢伙,脛骨、腓骨都是粉碎性骨折,膝關節脛骨平台也受累了,這傷得不輕。明確病情之後,我把入院記錄和醫囑都搞定了。

類似於這樣
這時,我的上級醫生過來了,“小王,準備一下,我們去給+4牀打個牽引。”
“啊?牽引?我沒弄過啊,要準備什麼?”
牽引我只在外科書上看到過,就是通過機械作用起到骨折復位和固定的作用。牽引可以分為皮膚牽引、枕頜帶牽引、骨牽引,最常見的牽引包括用頸椎骨折脱位的枕頜帶牽引,股骨骨折的股骨牽引,以及脛骨骨折的跟骨牽引。

這個病人脛骨幹骨折,應該是要做跟骨牽引。
老師帶我一起準備了東西,消毒棉球、無菌手套、牽引包、兩個安瓿、利多卡因、5ml注射器。
我們來到了牀旁,
“老黃,這邊要給你做個牽引,不然你這腿就短了,將來長短腿就不好了。”
“搞搞搞,沒事兒!”這些幹體力活的大叔就是爽快。
消毒之後,老師用注射器開始打麻藥了,位置在腳後跟兩邊。
跟骨牽引之前查房的時候我看過,腳後跟兩邊有兩根鐵棍,然後鐵棍連着幾個槓鈴片,拉着腿部。

就是不知道這個鐵棍是怎麼固定上去的。
雖然是大半夜,旁邊的家屬都過來圍觀了,中國人就是愛看熱鬧。骨科老師倒也不介意,繼續操作。
“你一會戴副手套,扶住他的腳,一定要抓牢了。”我點了點頭。
然後他拆開了牽引包。
好傢伙,裏面一個大鐵錘,還有兩根長約30cm的不鏽鋼粗針,比我媽織毛衣的針還要粗,還要硬。粗針的頭非常尖,在冰冷的電燈棒下發出慘白的光芒。

我似乎知道接下來要幹嘛了。
老師把針尖對準剛才打局麻藥的地方。
“扶好了啊!”他梆梆梆地開始用大鐵錘敲鋼針了,鋼針一下一下敲進了腳後跟裏,我的手都被震麻了。
他一錘一錘地敲着,我腦子裏響起了“80!80!80!”的聲音。

旁邊的家屬都被嚇得看不下去了,紛紛躲開了,別説他們了,我看的都心驚肉跳。
梆梆梆,他繼續敲着,不一會,鋼針地尖頭就從腳後跟地另一頭穿出了。
原來牽引是鋼針從跟骨中完整地穿過去啊!!!

也可以用電鑽
我尼瑪,震驚了,我一直以為是兩根鋼針,左邊一個,右邊一個,淺淺的固定住呢。
“別愣着了,趕緊把那個安瓿放上去。”我和老師一人一個,把安瓿放在鋼針兩端,防止鋼針誤傷。

兩邊的瓶子就是安瓿
鋼針兩邊連着一個牽引裝置,一根粗繩通過齒輪連着3個重重的槓鈴片。通過持續地牽拉,防止脛骨錯位和短縮。

看了骨科醫生搞牽引,我再次重申:他們是最野的,沒有之一。