“空腹”雖不爽,但“禁食療法”或能最大程度抵抗感染..._風聞
中国生物技术网-中国生物技术网官方账号-2021-08-06 15:33

當不幸生病時,我們每個人的表現和痛苦指數都各不相同,但唯有一點應該是一樣的,那就是食慾大減,什麼也不想吃。不僅人類這樣,動物也是這樣。這是一種進化而來的保護機制,以通過禁食來對抗疾病。
一説到禁食,不得不説,近些年來,隨着減少營養素的攝入可以抑制免疫功能這一概念的提出,有目的的禁食作為治療類風濕性關節炎和多發性硬化等慢性炎症疾病的一種新療法受到了廣泛關注。這些炎症狀態通常涉及適應性免疫系統的異常激活,而禁食或模擬禁食的飲食可以減少自身反應性T細胞的數量和活性。自身反應性T細胞就是攻擊自身組織、細胞及器官的T細胞。
北京時間8月6日,發表在《PLOS Pathogens》上的一項最新研究中,來自加拿大英屬哥倫比亞大學領導的研究團隊探索了禁食後病原體入侵腸道後的影響,他們發現,在接觸病原菌前和期間禁食的小鼠,幾乎沒有被感染的跡象,這在一定程度上依賴於動物腸道微生物組(菌羣)的變化。

眾所周知,許多細菌和病毒病原體都是以哺乳動物的胃腸道為目標進行攻擊的。作為獲取營養的主要場所,胃腸道也是第一個受到食物攝入減少影響的器官。而腸道中豐富的共生微生物(菌羣),在營養吸收和宿主防禦方面發揮着至關重要的作用。
當哺乳動物宿主被病原體感染時,在細胞和器官水平上協同的代謝程序被激活,以對抗入侵的病原體,將能量從生長轉移到有效的免疫反應。這些內部的代謝適應伴隨着外部的疾病行為,如發燒、不適、嗜睡和食慾不振等。
目前,關於禁食如何影響腸道或其常駐菌羣知之甚少。雖然有證據表明,禁食會激活組織保護程序,使宿主不那麼容易受到病原體介導的免疫病理學影響,但研究人員仍未能確定這在腸道中是如何發揮作用的,以及這種免疫抑制是否會影響宿主防禦。此外,由於腸道病原體通常依賴於宿主和菌羣提供的營養物質來獲得能量。因此,病原體侵入禁食宿主的腸道後將如何發揮作用還是未知的。
在這項新研究中,研究人員開展了一系列實驗,他們將小鼠分為兩組,一組正常餵食,一組禁食24小時。然後,兩組小鼠經口腔感染沙門氏菌 (S typhimurium ),這是一種引起人類食源性疾病的致病菌。
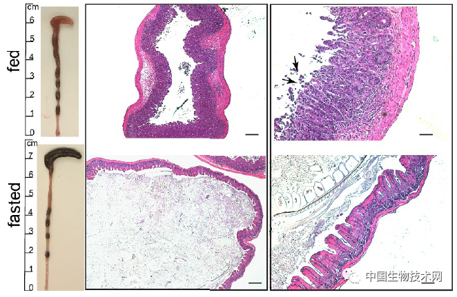
通常,沙門氏菌會非常迅速地感染腸上皮,在6小時內引發炎症和組織病理學變化,並在 24小時內導致明顯的腸胃炎。禁食組小鼠在感染前和感染期間共禁食了48小時,研究人員檢查了它們的代謝標誌物,發現血糖水平降低,血清β—羥基丁酸水平升高。這表明禁食期間小鼠的代謝狀態穩健。

48小時後,研究人員觀察到,餵食和禁食小鼠受感染後的盲腸組織學存在顯著差異。
在餵食的小鼠中,大部分沙門氏菌引起的胃腸炎是由趨化因子介導的嗜中性粒細胞、樹突細胞、炎性單核細胞和巨噬細胞向腸粘膜的募集引起的,這些細胞在腸粘膜處釋放毒性因子,例如活性氧。雖然這種炎症反應促進了細菌的殺滅,但它也會導致廣泛的組織損傷。因此,研究人員觀察到餵食組小鼠遭受嚴重的盲腸病變,包括粘膜和粘膜下層廣泛的炎性細胞浸潤、隱窩增生、水腫以及大量上皮細胞脱落到盲腸腔。

相比之下,禁食的受感染小鼠顯示出最小的腸道組織損傷。盲腸上皮保持完整,未見隱窩增生和水腫。在組織學評估期間僅鑑定出少數免疫細胞。

研究人員還發現,與餵食抗生素治療的無菌小鼠相比,禁食並不能完全保護動物(缺乏正常的腸道菌羣)免受沙門氏菌的感染。因此,這表明部分保護是由於禁食對腸道菌羣的影響。使用空腸彎曲桿菌進行的實驗證實,不僅沙門氏菌,禁食對其他細菌也存在類似影響。
這些數據表明,治療性禁食或熱量限制能有益地調節傳染性和潛在非傳染性胃腸疾病。
該研究強調了食物在調節宿主、腸道病原體和腸道菌羣之間相互作用方面發揮的重要作用。當食物有限時,腸道細菌似乎會隔離剩餘的營養物質,以阻止病原體獲得感染宿主所需的能量。
研究人員表示,雖然還需要更多研究,但未來可以利用禁食或以其他方式調整食物攝入量來治療傳染病。
論文鏈接:
https://doi.org/10.1371/journal.ppat.1009719