我差點上《令人心動的offer》_風聞
我想逗乐这个闷闷的世界-搞笑博主、医生-愿世界更欢乐2021-11-12 12:27
幾個月前,一則消息震動了整個醫學生的朋友圈。
《令人心動的offer 第三季》要在醫院拍了,醫學生們可以報名參加選角了。
《令人心動的offer》是一檔真人秀節目,前兩季都是律師行業,這一季竟然出人意料地選擇了醫生。
後台也有小夥伴們來問我,“情歌你要不要參加?

然而,我的心中毫無波瀾,甚至有一點想笑。
老子早就報名了好吧?比你們這些普通醫學生早知道了好久。
我們把時間線拉回到今年的5月份,一位大佬在朋友圈發了一個海報。

我一看,《令人心動的Offer 3》選手招募,列出三個條件:
1. 知名醫學院在校生或醫學研究生為主(擁有畢業證、學位證、規培證、醫師資格證者優先)。

2. 二級學科以外科為主。

3. 人物性格飽滿,表達力強。

真的,感覺這個招聘簡直是為我量身定製的蘿蔔招聘。
於是,我就掃描了二維碼,加了微信。
編導老師詢問了我的情況,第一步讓我提供一些基本的資料,包括個人簡介、詳細的簡歷、形象照以及個人介紹的小視頻。
個人簡介嘛,那一大堆title就來了呀!
形象照,必須上最騷氣的。
然後就是個人簡介的小視頻,錄了一段,發送。

好傢伙,竟然嫌棄我像個小矮人??
我像小矮人麼?我就是小矮人好吧?既然如此,那就重新錄一段,穿上我心愛的白大褂,內着只有結婚時候穿了一次的襯衣領帶,佩戴上我1800塊的littman聽診器,我就是最靚的規培仔。
世界上還有不為我傾倒的編導老師麼?
果然,老師跟我約了第一次線上面試。
那一天,我也是同樣的裝備,然後躲在醫生辦公室裏,生怕被科里老師們發現。
面試的具體內容記不得了,大概內容就是問你一些個人的經歷,以及對一些事情的看法。比如,你對現在的醫學科研現狀的看法,你行醫過程中最委屈的一段經歷之類的。
我侃侃而談,喋喋不休,面試結束,腎是滿意。不對不對,腎不滿意,原本十幾分鐘的面試,整整花了快一個小時,腎憋尿都憋壞了。
面試完成後,我已經開始幻想自己上電視的場景了,和各路明星近距離接觸。

可以幫你們要簽名
接下來的一個月又沒有任何消息了,我甚至都已經忘記這個事情了。
七月份的時候,編導老師突然通知我進入二面了,讓我準備一下,這次可能會考比較專業的問題。
她還告訴我這次節目選擇心內科、神經外科、肝膽外科三個科室進行拍攝,讓我選一個。
作為胸心外科的研究生,我表示大為不服,憑什麼沒有胸外科?
“老師,我選神經外科。”
事已至此,節目組肯定有自己的考慮,也是和浙二醫院以及各個科室的主任反覆溝通的結果,我也只能接受了。之所以選腦外科,一是我是外科基地的肯定選外科專業,二是我輪轉過腦外科,相對還熟悉一點,三是我自己在腦外科開過刀,有一種莫名的親切感。
通知很急,第二天就要線上面試了。
我早早的準備好,甚至還提前打開了電腦,把腦外科的PPT打開,臨時抱佛腳學一學。
面試開始了,編導老師簡單安排了一下,考官就進來了。
“你XX醫院的啊?”
“老師,是的。”
我們醫院實力不比浙二差,這點倒是要有自信。
“你胸外科的?”
“對的,老師。”
“那你輪轉過腦外科麼?”
當時,在0.002秒的瞬間,我的腦子的轉速達到了驚人的3000RPM,達到了V12渦輪增壓發動機的動力總成,為了達到更好的面試效果,我説了一句讓我後悔半輩子的話。
“沒有。”
有一説一,之所以説沒有,是因為本院腦外科規培輪轉還是有點水分的,自己也不是特別認真的那種,輪轉下來就寫病歷搬磚了,沒學到什麼東西,所以還是心虛的説了一句沒有輪轉過。
“好的,那我們接下來就開始考試。”
老師打開了一個PPT,每一頁都是神經外科專業的問題,內容很詳實,有問答題、病歷分析、英文翻譯等內容。
我靠着自己一點淺薄的腦外科知識,磕磕巴巴地回答着。
“你胸外科的,答成這樣,還可以了。來看下一題。”
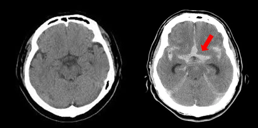
我看了PPT,是一個病例分析,老年女性,突發頭痛,伴有噁心嘔吐症狀,然後做了急診頭顱CT。

蛛網膜下腔出血:腦室高信號
我一看,好傢伙,這腦室都是高密度信號,結合症狀, 是典型的蛛網膜下腔出血。
“病人的診斷考慮是?”老師問道。
**“蛛血!”**我終於遇到一道自己有把握的題目了,興奮地説出了口。
“你沒在腦外科輪轉過?我怎麼不信呢?”
萬萬沒想到,一句蛛血暴露了自己。蛛血是腦外科、神經內科醫生們對蛛網膜下腔出血的簡稱,沒輪轉過的醫生,確實很少直接這樣簡稱。我也是聽腦外科的老師們這麼説,自己才記住的。
我尷尬地笑了笑,不好意思地點了點頭。
接下來的面試題目難度也逐步加大,還有動脈瘤手術入路的問題,動脈瘤兩種手術方式優缺點,以及如何跟家人談話的問題。
不得不説,浙二老師的水平是真的不錯,感覺題目出的都很到位,雖然是比較基礎的題目,但確實都是神經外科關鍵的知識點,也是考驗你知識掌握程度的好題目。
我就這樣結束了二面,“等通知吧。”
我對自己考試的表現還算滿意,就是對自己撒謊的行為後悔不已,覺得自己耍小聰明的行為多此一舉,但還是有點期待能上一次電視。
等着,等着,等了2個多月。
《令人心動的offer第三季》已經開播了,顯然我沒有上。

失望嘛,肯定是有的。但心中的一個石頭也算落了地,如果真上了,就要為如何跟主任解釋、如何跟醫院請假髮愁了,就算上了也不一定能去。
可以想象以下場景:
“主任,我要跟您説件事。”
“我要上電視了,跟您請個假。”
“好事呀,多宣傳一下醫療,宣傳一下我們科室,上的什麼節目呀?”
“令人心動的offer。”
“所以你是去其他醫院拿offer去了是吧?你是不願意留下來嘍?”
想想就賊尷尬,更何況請了假參加節目,規培還要延期畢業。
現在,節目已經開播了,伴隨着節目開播也有了很多網上的爭議。
有人説正兒八經的醫學生和大佬就不會參加這樣的節目,想上節目的都是沒啥本事想火的人。
這話有點道理,但我想為參加節目的選手説兩句話,也是解釋一下自己報名的動機。
我總覺得醫生的職業生涯是按部就班、線性增長的,穩定是穩定,但生活似乎缺乏了一點變化。我總覺得,人生就是一個體驗的過程,如果在你幾十年的時光裏,能獲得更多不平凡的體驗,那就是一種成功。
這些選手參加了一檔綜藝節目,體驗了這個過程本身,就是人生的一種精彩,又何必拘泥於所謂的找工作呢?
很多人把醫生職業生涯的成功狹義地定義為發論文、拿基金、爭帽子、當主任,甚至出任主委、評選院士,但這一條路又是多麼狹窄和內卷呢?
在其他方面獲得成功未必不是一種自我實現的方式。
現在,節目已經開播了,我還沒來得及看,據説評價還不錯。這也反擊了節目剛開始策劃時那些所謂不看好的評論。
能在更高的平台上,把醫生和醫學生的日常生活展示在觀眾前,促進大家對醫生、醫學、醫療的認知,這何嘗不是一件很有意義的事情呢?
祝這些選手都能展現出自己的實力和魅力,祝這檔綜藝能夠取得令人滿意的效果。
——來自一個落選選手的祝福