多國相繼發現猴痘病例 什麼是猴痘?如何預防?_風聞
橙哥迷妹-2022-05-20 17:40
繼5月7日英國宣佈發現首例猴痘確診病例後,多個國家也發現確診或疑似病例,且可能存在多條傳播鏈。
多國報告猴痘病例 ✦
1
當地時間5月19日,加拿大魁北克省蒙特利爾公共衞生局負責人表示,上週在該地區發現了17例疑似猴痘病例,已經要求衞生部門對猴痘保持警惕。
2
當地時間5月18日,西班牙衞生大臣達莉亞斯報告稱,西班牙國家微生物學中心對疑似猴痘感染病例身上採集的樣本進行檢測後,已確定7例陽性病例。
3
當地時間5月18日,葡萄牙衞生部門確認了5例猴痘病例,且仍在調查15例疑似病例,這些病例均為男性,皮膚均有受損情況。
4
當地時間5月18日,英國衞生部門宣佈新增2例猴痘確診病例。這2名患者與日前確診的首例患者不同,均沒有去過非洲。而5月7日發現的首例猴痘確診病例曾從尼日利亞乘飛機返回英國。這意味着,英國目前或存在多條猴痘傳播鏈。
5
當地時間5月18日,美國疾病控制和預防中心確認美國出現今年以來首例猴痘病例,正在調查該病例是否與歐洲疫情相關。
6
當地時間5月18日,非洲疾控中心代理主任艾哈邁德·奧格威爾表示,在新冠疫情期間,非洲暴發了幾次猴痘疫情。剛果(金)、尼日利亞、喀麥隆、中非共和國都出現了疫情。
瑞士時間5月18日,世衞組織發佈關聯英國猴痘病例的公報,稱目前尚未確認這些病例的感染源,依據已知信息判斷,感染似乎在英國發生,目前尚不清楚猴痘病毒在英國本土的傳播程度,有可能發現更多病例。該機構建議英國繼續強化公共衞生措施。
雖然猴痘病毒已經被發現很久,然而由於患者人數有限,我們對它的瞭解並沒有想象中那麼充分。
什麼是猴痘 ✦
猴痘是一種病毒性人畜共患病,猴痘病毒可通過密切接觸由動物傳染給人,雖不易發生人際傳播,但與感染者密切接觸也可能感染。
1
1958年,猴痘病毒首次在猴子身上發現,因此命名為猴痘,但現在齧齒動物也被視為可能的主要動物宿主。
2
1970年,**剛果(金)**發現首例人感染猴痘病例。自那以後,西非國家多次暴發猴痘疫情。

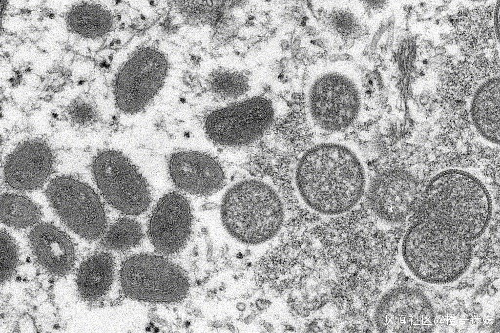
成熟猴痘病毒(左)和未成熟病毒粒子(右) 電子顯微鏡圖像(視覺中國)
猴痘病毒傳播方式 ✦
1
猴痘病毒的主要傳播方式是通過直接接觸到受感染的動物的血液、體液、皮膚或粘膜傷口。
2
人類之間的二次傳播主要由於密切接觸了感染者的呼吸道分泌物、皮膚損傷,或被患者體液或病變組織污染的物品(如患者皮疹破裂後流出的液體沾染的衣物、牀單等)。
3
猴痘病毒能在呼吸道飛沫中存在,但通常需要長時間面對面接觸才能傳播。
感染猴痘有哪些症狀? ✦
猴痘的潛伏期可達到5—21天。
在發病初期,患者表現的症狀包括發燒、頭痛、肌肉痠痛、背痛、淋巴結腫大等。
通常發熱後1—3天內,患者會出現不同程度的皮疹,並從面部擴散到身體的其它部位。皮疹從最初扁平的斑丘疹演變到充滿液體的小水皰,到膿皰,大約10天后結痂,約三週後結痂才能完全消失。出現皮疹時,患者具有傳染性。
世衞組織指出,猴痘病毒有西非進化枝和剛果盆地(中非)進化枝。據記載,該病毒西非分支的病死率約為1%,其剛果盆地分支的病死率可能達10%。

猴痘患者皮膚表面出現的症狀(英國衞生安全局)
如何預防猴痘病毒? ✦
常見的家用消毒劑可以殺死猴痘病毒。
避免接觸可能攜帶病毒的動物,另外,接觸已感染的人或動物後,應以肥皂水洗手或使用含酒精的洗手液,照顧患者時也建議穿上防護裝備。
因為猴痘病毒和天花病毒同屬一個病毒家族,針對天花病毒的疫苗對猴痘病毒也有保護效力,接種天花疫苗對預防“猴痘”的效果約為85%。
感染猴痘怎麼辦? ✦
多數感染者會在幾周內康復,但也會出現感染者病情嚴重的情況。
根據病毒的暴露程度、患者的健康狀況和併發症的嚴重程度,嚴重患者也可能死亡。
目前猴痘的治療方式還沒有經過安全驗證,不過若要控制猴痘疫情暴發,可使用天花疫苗、抗病毒藥物以及牛痘免疫球蛋白。
世界衞生組織建議 ✦
由於目前感染的源頭尚未被確定,因此世界衞生組織和其他國家的衞生機構均建議加強對當地皮疹病例的監控,以及對可能病例的追蹤和溯源。
由於猴痘的有些症狀跟其它出現皮疹的疾病相似(比如帶狀皰疹,性傳播病毒造成的皮疹),可能有些猴痘患者被誤診為其它疾病。
醫務人員在發現症狀與猴痘相似的患者時應該考慮猴痘病毒感染的診斷。
儘早發現病例,並且對可疑病例的隔離和追蹤,以及提高人們對這一疾病的警覺性,是預防二次感染,有效控制疫情的關鍵。
來源:國家應急廣播網綜合