確診肺癌,三個月不治療會怎麼樣?_風聞
我想逗乐这个闷闷的世界-搞笑博主、医生-愿世界更欢乐2022-06-14 14:59
最近復工復產,組裏收了好多晚期肺癌的病人。
好幾個病人,其實幾個月前就已經發現肺部的佔位了,卻因為“特殊原因”無法就診,延誤了診斷和治療。
醫院剛好有這三個月前後的資料,我挑了兩個比較典型的,給大家看一下——晚期肺癌,如果不治療的話,進展有多快。
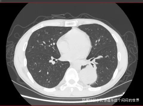
病例1,男,43歲。因“咳嗽咳痰1月餘”在3月份至我院門診就診,行胸部CT檢查發現左下肺巨大佔位。

左下肺佔位,直徑約6cm
這種大小的腫塊基本上考慮是惡性腫瘤,正常流程是要入院明確診斷,然後評估診療方案的。如果淋巴結沒有轉移,或者只有N1(肺門淋巴結)的轉移,是可以考慮直接手術的。
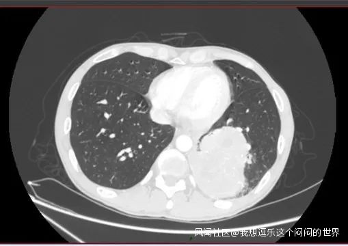
患者在家裏無法就診,同時出現了痰中帶血。直到6月再次就診,複查胸部CT,腫塊明顯增大,並出現了阻塞性肺炎。

左下肺佔位明顯增大,直徑約8cm
同時行PET-CT檢查,發現同側縱隔淋巴結出現了轉移(N2),所幸沒有遠處轉移(M0)。臨牀分期為cT4N2M0,IIIB期,暫時不考慮手術。

PET-CT提示同側縱隔淋巴結轉移
我們進行了氣管鏡檢查,取了病理、做了基因檢測,考慮先行新輔助治療,將來再評估能否手術。
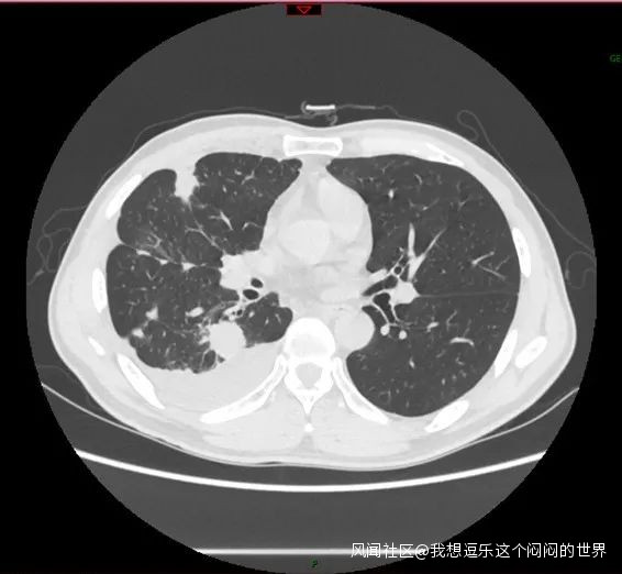
病例2,男,59歲。因“體檢發現右下肺結節1月餘”於3月份收入我院。
當時結節不大,直徑大概2公分。做了PET-CT,考慮惡性腫瘤可能,但當時提示有縱隔淋巴結轉移(N2)和胸膜播散(M1a)。本來打算穿刺活檢明確病理,先進行輔助治療。
後來醫院做了隔離定點醫院,所有病人都被清空了,患者無奈回了家裏。

右下肺結節,直徑約2cm
6月患者重新入院,複查了胸部CT。右下肺結節明顯增大,且胸膜結節也明顯增大,並出現了大量胸水。

右下肺結節增大,伴有胸腔積液、胸膜播散
患者入院後,進行了胸腔穿刺置管引流,放出了胸水,然後做了CT引導下的穿刺活檢,下一步根據病理和基因檢測結果進行治療。
因為已經出現了胸膜轉移,所以不考慮手術治療。
病情介紹完了,我們來説一説“人”。
病例1是個中年男人,戴着個黑框眼鏡,很有讀書人的氣質,説話温聲細語的。
醫從性特別好,説什麼都非常配合。跟大多數中年男人一樣,家裏有老婆孩子,在等他看完病回去。
説起沒法就醫的事,男人不怎麼生氣,有的只是無奈。
“哎,沒辦法呀!”這是他説得最多的一個詞。
是啊,沒辦法啊。都説不耽誤正常就醫,可怎麼就出不去呢?
病例2年齡大一些,已經退休了。我給他做穿刺的時候聊了很多,明顯能看出他緊張的情緒。
“醫生,你説我是不是已經沒救了?”
我不好亂説,“放心吧,現在治療手段很多,我們先檢查,明確之後馬上給你治療。”
“醫生,你不用騙我,我心裏都清楚。”
他看我健談,也聊了起來,他是一個高級工程師,做的城市規劃。單位體檢做的都是X光,這次第一次做CT,就發現了這個東西。
當他看到胸管流出的胸水的時候,明顯有些驚恐,
“醫生,這就是癌生的胸水麼?這才兩個月,就這麼快麼?”
“哪有這麼快,你放心吧,放出來就好了。”
我騙了他,晚期肺癌就是這麼快,胸水還會不斷產生的。
這樣病情耽誤的病人,我們組裏還有四五個,科裏算起來十幾個了。
我就想弱弱地問一句——
有人對他們的病情延誤負責麼?