我發明了一種裝置可以讓CT檢查便宜一半,準備申請專利_風聞
我想逗乐这个闷闷的世界-搞笑博主、医生-愿世界更欢乐2022-11-21 13:47
大家都知道,CT檢查是醫院非常普遍的一種影像檢查,CT檢查具有檢查時間短、成像清晰、靈敏度高的優點。

常見的CT機器
目前,一個部位CT平掃的價格大約為200元。對於一些經濟條件不是很好的地方,這個價格仍顯得有些昂貴,很多老百姓負擔不起。
另外,一些大醫院的急診室,CT室門口總是排起了長隊,病人做一個CT檢查要等好幾個小時,非常不方便。

CT檢查室門口往往排着長隊
除此之外,一些單位還會組織體檢,每個人都要進行胸部CT的平掃,進行肺癌的篩查。檢查的時候病人要一個個地進去掃描,效率非常低。
作為一個愛思考的臨牀醫生,我總在想有沒有什麼好的方法能夠解決上述這些問題呢?

直到那天,我在小區裏做核酸,掃碼的人把管子給我,做的是20混1。這樣能夠大大降低核酸檢測的成本,原本一個人20塊錢一次的核酸檢測,可以降到1~2塊錢一次。
聰明的你估計已經猜到了我的想法。
既然核酸能混檢,那為什麼CT不能混檢?
自從腦子裏有了這個想法之後,我腦子🧠就一直在思考,有什麼好的方法能讓病人做CT的時候也能混檢呢?
我吃飯的時候在想,拉屎的時候在想,走路的時候也在想。
直到,當我在某國外網站學習的時候,看到兩個人上下疊在一起打架,我瞬間就有了一個完美的idea!
為什麼不能把人疊在一起做CT???
有了這個想法之後,我內心激動不已,只要設計一個裝置,可以讓人疊在一起,就可以讓他們同時做CT。
這樣一次CT可以掃2個人,一個人只需要交100塊,還可以讓CT檢查的速度增加一倍!
唔。於是就有了——
《一種新型CT檢查混檢支架的設計》

這是非常簡易的一種版本,適合於目前絕大多數的CT機器,只需要做一個架子,讓第一個病人躺下之後,把架子蓋上去,然而再讓第二個病人躺上去,這時候再掃描CT,就可以同時完成兩個人的CT檢查了。

什麼,你説這個架子搬來搬去的很麻煩?
沒關係,我們可以設計一個鉸鏈,把支架固定在檢查牀的一側,第一個人躺下來之後,只需要把架子翻過來,再躺第二個人就好了。

什麼,你説第二個人上來不方便?
沒關係,我們可以附送一個腳踏,方便第二層的病人上下檢查牀。

什麼,你説不同的人檢查部位不一樣?
那你是沒去過我們老家的火車站,一下火車,就有一堆大叔喊——
“輝縣!輝縣!有沒有去輝縣嘞?”
我們也檢查的時候也可以讓檢查技師喊——
“胸部CT!胸部CT!有沒有做胸部CT嘞?還差一個人!先來先做啊!”
這樣就能保證同一個部位同時檢查。如果實在沒有同時做的,也可以讓病人單獨做,不用支架就行。
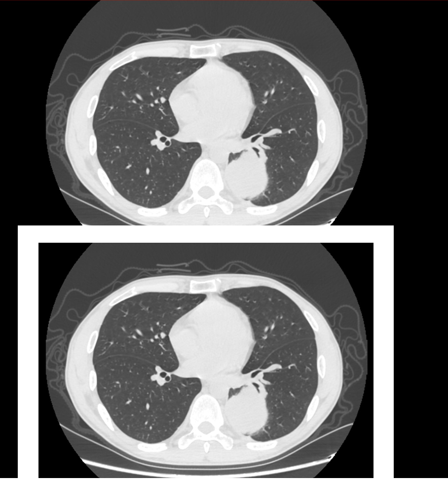
做出來的胸部CT be like:

白色的框子就是我們的混檢支架,這樣並不影響影像科醫師閲片。我們可以進行命名,上面的叫上患者(Up Patient,UP),下面的叫下患者(Down Patient,DP)。
“這個UP氣胸了。”聽起來非常專業。
最後,這種支架非常適合體檢機構使用,因為所有的體檢病人都是同一個部位,能夠大大降低體檢機構的成本,同時提高體檢的效率。
對於醫療機構而言,可以給患者提供兩種選擇,一種是混檢CT,一次100,一種是單管CT,還是原來的價格,這樣能夠減輕患者的醫療費用。
類似的我們還可以進行拓展,比如製作塑料支架給MRI磁共振檢查使用,還可以製作PET-CT專用的鉛板支架,有效降低輻射。
當然,如果這一發明市場反響很好,我們還可以進行出口,並對出口國進行定製化的服務。
比如,印度專用九宮格CT混檢支架。

這玩意一次可以檢查9個人,牛逼壞了。
至於印度人能不能擠得下,我想你不用過多擔心。畢竟這是國慶表演摩托車上面都是十幾個人的國家。

好了,我的想法已經有了,專利申請書已經寫好了,馬上提交,估計很快就能批下來。有沒有廠家願意合作的,搞個成果轉化?