“95後”小夥罹患生殖細胞瘤致視野缺損 直線加速器放療後“重拾信心”_風聞
生活漫谈-2022-12-20 13:34
生殖細胞瘤好發於顱內,是一種多見於兒童及青少年人羣的惡性腫瘤。由於生殖細胞瘤對放射線高度敏感,通過手術、放射治療等綜合治療手段,往往能取得較為理想的治療效果。
近期,上海藍十字腦科醫院腫瘤科(放療)王曉東主任團隊,為一位年輕的“95”後生殖細胞瘤術後患者開展放療。經過一個完整療程的治療後,其症狀得到改善,複查影像顯示病灶較前明顯縮小。
年輕小夥突然雙側視野缺損
2021年8月,27歲的小剛(化名)在無明顯誘因的情況下,出現雙側視野缺損,可視範圍變窄,兩側出現“盲區”,就像被“黑幕”遮蔽一般。
在當地醫院行MRI檢查提示:鞍區及松果體區異常信號,幕上腦積水,右側乳突少許炎症。9月,患者在外院行經蝶竇鞍區病損切除術,術後病理示:生殖細胞瘤。
**上海藍十字腦科醫院腫瘤科(放療)王曉東主任:**生殖細胞瘤是來源於生殖細胞的腫瘤,好發於顱內,是一種多見於兒童及青少年人羣的惡性腫瘤。顱內生殖細胞瘤以松果體區最為常見,其次為鞍上區,少數發生於基底節區,亦有患者可多處同時累及。
根據發生部位及大小的不同,生殖細胞瘤的主要臨牀症狀也不盡相同。
發生於鞍上區
由於壓迫視交叉,可引起雙顳側偏盲,視力下降、視物模糊,部分可出現視野缺損;腫瘤侵犯腦垂體,可導致內分泌障礙表現。隨着疾病進展,可出現顱內壓增高症狀,如頭痛、嘔吐等。
發生於松果體區
可發生性早熟。較早出現包括頭痛、嘔吐、嗜睡等顱內壓增高症狀,部分患者會出現記憶障礙。瘤體較大者,會出現耳鳴、聽力障礙、步態不穩、眼球水平震顫等小腦壓迫體徵。
發生於基底節區
多表現為進行性偏側肢體無力,也可出現運動異常亢進或減退。症狀會因腫瘤生長而持續惡化,晚期可出現頭痛、嘔吐等顱內壓增高症狀。
直線加速器放療後症狀緩解
近期,患者感到頭痛,偶有噁心嘔吐。經多方打聽和親友推薦,他瞭解到上海藍十字腦科醫院引進了高端放療設備——瑞典醫科達 Synergy 數字化直線加速器,並擁有臨牀經驗豐富的專業醫生團隊,便慕名來到醫院尋求進一步治療。

▲ 放療前病灶影像定位
腫瘤科(放療)王曉東主任詳細瞭解了患者的病史,並進一步完善檢查。在查體時,小剛表示近期感到頭痛,偶有噁心嘔吐。垂體增強MRI示:垂體術後,垂體區及松果體區佔位,視交叉受壓,右側海綿竇局部受累,第三腦室擴大,梗阻性腦積水形成,提示病情進一步加重。

▲王曉東主任團隊為患者開展放療
王曉東主任指出,相較於其他惡性腦腫瘤,生殖細胞瘤對放射線高度敏感,因而放射治療在該疾病的治療上發揮着重要作用。針對小剛的病情,王曉東主任團隊開展了審慎的討論評估,制定了全腦全脊髓大範圍照射,同步瘤牀推量的放療方案,預防腫瘤局部復發及通過腦脊液播散轉移。

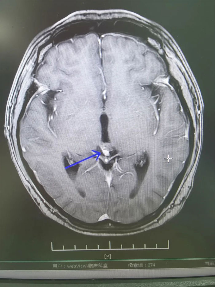
▲ 放療後複查,病灶明顯縮小
經過一個完整療程的放療,患者沒有出現明顯併發症,頭痛、噁心嘔吐症狀得到緩解。複查MRI,影像顯示病灶明顯縮小,梗阻性腦積水消失。進一步完善檢查評估後,小剛已順利出院。眼見短時間內病情即得到控制,小剛對生活又重拾信心,表示一定會以積極的心態面對人生。
王曉東主任提醒,生長於腦部的惡性腫瘤往往病程短、進展快、危害大。根據病灶所在位置、大小及患者個體情況的差異,應在考慮採取包括手術(以解除腫瘤壓迫所致神經功能損害、高顱壓症狀為主)、放療、化療等綜合治療手段的基礎上,制定個性化治療方案,並且要通過對患者的長期跟蹤、定期隨訪,達到緩解症狀、改善生活質量、延長生存期的目標。
