不明原因脖頸“鼓包”鼻出血 要警惕這種惡性腫瘤_風聞
生活漫谈-02-13 10:25
鼻咽癌(Nasopharyngeal Carcinoma,NPC)多發生於鼻咽腔頂壁及側壁,尤其是咽隱窩,是我國常見的惡性腫瘤之一,其發病率居耳鼻咽喉惡性腫瘤之首。
上海藍十字腦科醫院腫瘤科(放療)主任王曉東表示,人體鼻咽部結構複雜,具有呼吸、吞嚥、防禦保護等功能,當腫瘤侵及相應組織和神經時,可引發複雜多樣的臨牀症狀。
從收治入院的多位鼻咽癌患者情況看,涕中帶血、鼻出血、血痰是常見表現,患者主訴在晨起咳嗽時出現帶有血絲的痰液,或是在擤鼻時有帶血的鼻涕。有相當多的患者脖頸部出現淋巴結腫大,觸摸有明顯“鼓包”。當腫瘤壓迫咽鼓管咽口時,還可出現耳鳴、聽力下降等耳部症狀。
隨着病程進展,大部分鼻咽癌患者會遭遇頭痛襲擾,早期多為間歇性發作,其後可發展為持續性頭痛。
**上海藍十字腦科醫院腫瘤科(放療)主任、副主任醫師王曉東:**由於鼻咽部的位置特殊,採取傳統手術切除腫瘤方式有一定侷限性,難度高,風險較大,術後容易快速復發。但近年來,我國對鼻咽癌臨牀研究不斷深入,形成了《中國鼻咽癌放射治療指南》(以下簡稱“指南”),為鼻咽癌診治的臨牀決策提供了更多的循證證據。
**根據指南,鼻咽癌對放射線敏感,隨着調強放療等新技術在治療中的廣泛應用,鼻咽癌局部控制率和總生存率顯著提高,放療成為目前鼻咽癌的主要治療手段。**應根據不同的臨牀病理分期,遵循多學科綜合診療(MDT)模式,合理運用放療、化療、手術、靶向治療等手段,制訂個體化分層治療策略。
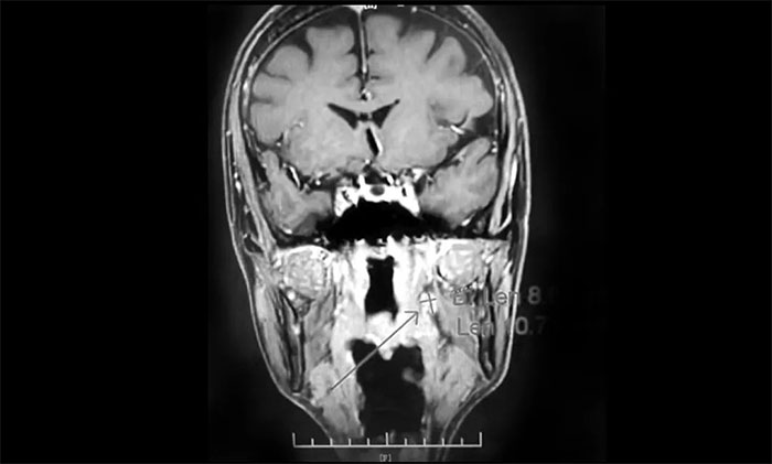
一位64歲男性患者,因“左頸部淋巴結腫大伴鼻出血半月”在外院行鼻咽鏡活檢病理結合影像學檢查,提示鼻咽癌可能。為尋求進一步治療近期來到我院。查MRI:左側鼻咽部實性佔位性病變,考慮惡性腫瘤,侵及左側咽旁間隙;左側下頜腺區及頸部淋巴結異常腫大(轉移可能)。

▲ 入院MRI影像
經MDT多學科會診評估,制定以放療為主的同步放化療方案。治療後複查MRI,患者左側鼻咽部實性佔位較前治療明顯減小;原左側下頜腺區、咽旁腫大淋巴結已基本吸收好轉,左頸部腫大淋巴結較前明顯縮小。

▲ 放療後複查MRI,腫瘤佔位較前明顯減小
臨牀上,鼻咽癌的診斷並不困難。指南明確,當患者出現相應症狀及體徵,並符合下列情況其一者,即可明確診斷:
1、EB病毒檢查未發現腫瘤,但有EBV陽性且有頸轉移淋巴結者。
2、鼻咽鏡檢查觀察到鼻咽、口咽、鼻腔有黏膜下隆起或菜花狀結節腫物、出血、壞死物等。
3、CT、MRI等檢查發現鼻咽腔腫塊,鼻咽雙側壁及後壁侷限性或瀰漫性增厚,咽隱窩變淺或消失等。
王曉東主任鄭重提醒,早發現、早診斷、早治療是提高鼻咽癌患者預後的關鍵。一旦確診鼻咽癌,儘早進行放療干預,不僅可有效控制癌細胞擴散轉移,甚至有治癒的可能,可顯著提高患者的生存期和生活質量。
在日常生活中,若頻繁出現不明原因鼻出血或涕中帶血、耳鳴、脖頸部“鼓包”等症狀者,建議儘快就醫,進行詳細的鼻咽部檢查,以排除患上鼻咽癌的可能。