出現不明原因反覆頭痛,要警惕腦腫瘤!_風聞
生活漫谈-04-19 08:47
生活中幾乎每個人都有頭疼腦熱的經歷,尤其是到了季節變換的時候,感冒、發燒往往會引起頭痛症狀。高血壓、休息不好、情緒激動及血管神經性因素等也可引起頭痛。因此,有不少人認為,頭疼不是什麼大不了的毛病,挺一挺就過去了。然而,在眾多引起頭痛的疾病中,十分隱匿又危險的莫過於腦腫瘤。因此,我們在頭疼時,不要硬扛,一定要去醫院做個檢查。
反覆頭痛,24歲程序員竟患 罕見巨大腫瘤
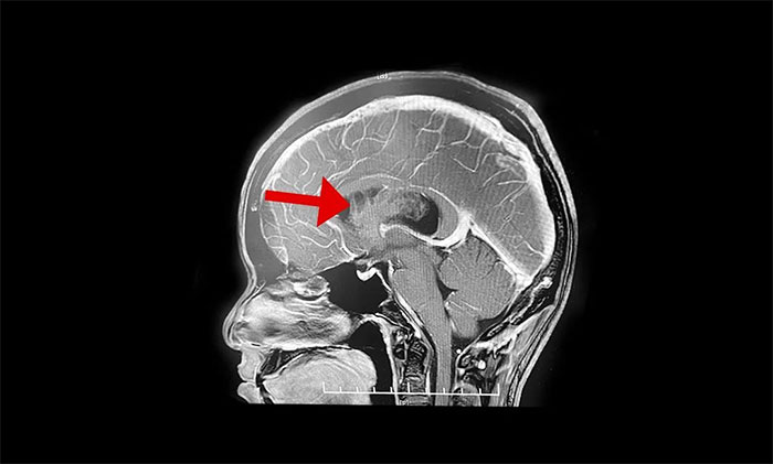
《武漢晚報》報道,李威今年24歲,大學畢業後在一家公司做程序員。數月前,他開始莫名出現一晃而過的頭痛、頭暈現象,但他並沒在意。沒想到這種情況越來越頻繁,兩週後,他因劇烈頭痛在公司暈倒,被同事送往附近醫院,檢查後發現他腦室裏長了一顆巨大腫瘤。

▲ 頭痛同時伴隨嘔吐、視力下降等,要高度懷疑腦腫瘤
最終被診斷為中樞神經細胞瘤。中樞神經細胞瘤屬於比較罕見的腦腫瘤,一般直徑超過三公分即為巨大腫瘤,而李威腦室內的腫瘤直徑竟達七公分,接近一個拳頭大小。幸運的是,順利手術切除。
罕見的中樞神經細胞瘤
上海藍十字腦科醫院神經外科李士其教授介紹,中樞神經細胞瘤(Central neurocytoma,CN)是少見的神經系統腫瘤,1982年由Hansson首次報道並命名,2016年WHO神經系統腫瘤組織學分類將其歸類為神經元和混合型神經元膠質瘤(WHOⅡ級)。中樞神經細胞瘤僅佔顱內腫瘤的0.25%~0.50%,好發於20~40歲青年人,無性別差異。病史一般較長,可達數十年之久,好發於側腦室透明隔,當病變累及Monro孔時,阻塞腦脊液循環,引起頭痛、頭暈、惡性、嘔吐以及不同程度視力改變等非特異性顱內高壓症狀。
中樞神經細胞瘤目前認為起源於室管膜下具有雙向分化為神經細胞和神經膠質細胞的前體細胞。典型中樞神經細胞瘤鏡下瘤細胞大小一致,圓形,核圓,居中,無核分裂像,可見神經氈、Homer-wright菊形團和神經節細胞樣細胞等特異性表現。免疫組化SYN、NSE等特異性標記物表現為陽性。當瘤細胞排列呈流水狀,瘤組織出現核分裂像活躍(Ki-67>2%),微血管內皮增殖、局部壞死灶時,稱為非典型性中樞神經細胞瘤。
中樞神經細胞瘤治療 以手術為主的綜合治療
李士其教授介紹,該腫瘤一般生長於側腦室或三腦室,由於生長的位置處於腦室內,有較大空隙代償,疾病初期症狀並不典型,當出現如頭痛、嘔吐等臨牀症狀時,瘤體已經比較大。在治療上首先建議進行手術切除,解除腫瘤佔位效應,通暢腦脊液通路,緩解腦積水,解除顱內高壓。李士其教授指出,中樞神經細胞瘤一般為偏良性腫瘤,若能手術全切腫瘤,或者大部分切除後輔助放療可以長期生存。所以,手術這一步非常關鍵。


▲ 非典型性中樞神經細胞瘤
但由於腫瘤較大、血供豐富,且與腦室壁黏連明顯,致使腫瘤分離及切除異常困難。而且腦室內血管及神經組織結構複雜、功能重要,如何在切除腫瘤的同時儘可能保護腦功能是手術的最大難點。
注意一般頭痛和腦瘤頭痛的區別
李士其教授指出,與腦瘤有關的頭痛主要是顱內壓增高引起的,隨着腫瘤的長大,頭痛會呈現進行性加重的特點,而其他原因引起的頭痛,在原發病因好轉後會自行消失。但是頭痛同時伴隨其他一些症狀,如嘔吐、視力下降、記憶力差、反應變慢等則高度懷疑顱內有腫瘤或其他佔位性病變。
而許多腦瘤一開始並不一定有頭痛。腦瘤的發病是個漫長的演變過程。在腫瘤初起時,腦組織受壓較輕,頭痛為間歇性,表現為或長或短的緩解期,疼痛程度較輕,多為鈍痛。隨着腫瘤逐漸增大,腫瘤直接牽引、伸展和擠壓腦血管,也會壓迫腦組織,使大腦的血液和腦脊液循環出現障礙,顱內壓力增高,刺激對痛覺敏感的神經、腦膜,頭痛也日漸加重並呈持續性。
肺癌、乳腺癌、鼻咽癌的頭痛患者 警惕腦部轉移的可能
另外,患有肺癌、乳腺癌、鼻咽癌的患者,如果突然出現較劇烈的頭痛,應警惕腦部轉移的可能。因為腦轉移腫瘤生長迅速,常伴有嚴重的腦水腫而致顱壓明顯升高。
李士其教授提醒:對不明原因的反覆頭痛,建議最好到醫院做詳細檢查,一般通過做顱部CT、磁共振等檢查就能確診。