陳根:AI賦能X光胸透成為更好的醫療診斷工具_風聞
根新未来-07-12 10:10
文/陳根
據《柳葉刀數字健康》雜誌發表的研究論文,來自大阪市立大學的研究人員招募了一個深度學習的人工智能模型,該模型可以將簡陋的胸部X光檢查轉變為一個更有力的心臟問題診斷工具,能夠為心臟功能評估和疾病檢查提供更快速和準確的方法。
胸部X光是世界上最經常進行的放射學檢查,也是衞生專業人員診斷肺部和心臟疾病的常見方法。該方案雖然具有快速且易執行的優勢,但所依託的X光作為一種靜態圖像,無法提供有關心臟如何運作的信息。
為了更有效地進行醫療診斷,科學家們需要進行更精進的超聲心動圖檢測,以評估心臟的泵送效率如何,以及心室之間的瓣膜是否漏氣或病變。如果心臟瓣膜發生病變,心臟就不能有效地泵血,不得不更加努力工作,這可能導致心臟衰竭或心臟驟停和死亡。但是,超聲心動圖對應用人員有較高的技能要求。
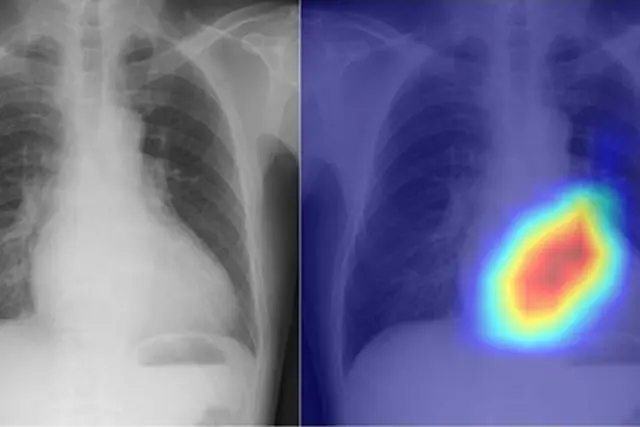
基於此,研究人員寄希望於通過深度學習的人工智能模型將X光胸透轉化為更好的診斷工具。所謂深度學習,是人工智能使用的一個過程,教計算機以模仿人腦的方式處理數據。該模型可以識別圖片、文本、聲音和其他數據中的複雜模式,從而產生準確的洞察力和預測。

在對該模型的訓練過程中,研究人員從四個機構的16946名患者那裏獲得的與22551張超聲心動圖相關的胸部X光片,由此對模型進行深度學習訓練。其中,X光片被設定為輸入數據,超聲心動圖被設定為輸出數據,模型被訓練為學習連接兩個數據集的特徵。在對深度學習模型進行測試時,研究人員發現,它可以精確地將六種類型的瓣膜性心臟病分類。
“該訓練的原始數據來源於多個機構,時間跨度達9年左右,這將最大限度地減少人工智能產生偏頗結果的風險。” 據研究人員介紹,“新型人工智能方法可以補充超聲心動圖,特別是在需要快速診斷或技術人員短缺的時候。”該研究的主要作者Daiju Ueda説:“除了提高醫生的診斷效率外,該系統還可能用於沒有專家的地區,用於夜間急診,以及用於難以接受超聲心動圖的病人。”