兒童重症支原體肺炎如何治?清華長庚醫院發佈獨家“臨牀建議”_風聞
医学界-医学界官方账号-为你提供可靠、有价值的内容是我们的存在方式。10-25 21:19
對於某些支原體肺炎重症患兒,支氣管肺泡灌洗治療能有效控制肺炎的進展,改善預後,降低長期後遺症的發生率。對於兒童重症支原體肺炎如何實施支氣管肺泡灌洗,清華大學附屬北京清華長庚醫院發佈了他們的臨牀建議。
**撰文 |**凌駿
“今日門診,又有較多支原體感染的病人,輕症、重症各一半,重的也很重,需要住院治療!”對於還在持續的肺炎支原體感染潮,10月24日,兒科醫生張亞停發微博感嘆。

圖源:張亞停醫生微博截圖
在張亞停醫生髮這條微博的前一天,10月23日,北京清華長庚醫院呼吸與危重症醫學科牟向東團隊發佈了《支氣管肺泡灌洗治療兒童重症支原體肺炎簡明臨牀建議》(下簡稱“臨牀建議”),為正在迅速增多的重症支原體肺炎患兒提供治療思路。
牟向東是清華長庚醫院呼吸與危重醫學科主任,今年1月4日,他和團隊曾發佈國內首個“新冠病毒肺炎後肺纖維化簡明診治建議”。在當下支原體肺炎重症患兒的救治中,他們又觀察到,支氣管肺泡灌洗治療能有效逆轉患兒肺炎的進展。
根據國家衞健委今年發佈的“兒童肺炎支原體肺炎診療指南(2023版)”,輕症不推薦常規支氣管鏡檢查和治療。懷疑有黏液栓堵塞和塑形性支氣管炎的重症患兒應儘早進行,以減少併發症和後遺症的發生。
“目前大環內酯類抗生素耐藥形勢嚴峻,兒童年齡的影響又限制了抗生素的替換,導致許多重症支原體肺炎患兒臨牀治療效果不佳。”牟向東告訴“醫學界”,“因此在符合適應證的情況下,應儘早啓動支氣管肺泡灌洗治療。但由於這項技術的普及不足,起草這份‘臨牀建議’,希望能進一步幫助重症肺炎患兒的救治。”

牟向東主任為重症兒童做支氣管肺泡灌洗治療。
(受訪者供圖)
何時啓動支氣管鏡灌洗治療?
支氣管肺泡灌洗,是一種用於診斷或治療肺部疾病的方法,採用電子支氣管鏡插入支氣管和某一段肺部組織中,吸出的灌洗液可進行細胞、微生物、免疫等各項檢查,有利於協助診斷病因。同時,反覆灌洗也可以促進肺泡異物、炎症或免疫反應產物的排出,進而達到治療目的。
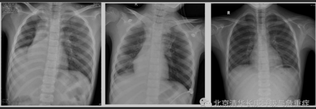
“臨牀建議”展示了牟向東團隊的救治實例。一名8歲女童因進行咳嗽、發熱、呼吸困難3天而入院,指尖血氧飽和度88%左右,心率135次/分。入院當日的胸片正位顯示右下肺不張,氣管及縱隔向右移位。後經反覆吸痰、支氣管沖洗及肺泡灌洗,患者氧飽和度逐漸恢復正常;其後複查胸片逐漸恢復正常。

術前、術後當天以及術後十天女童胸片對比
(圖源:清華長庚醫院呼吸與危重症醫學科)
牟向東告訴“醫學界”,對於肺炎的患者,支氣管肺泡灌洗多用於病原菌的診斷,尤其在成人肺炎中極少用於治療。
“但和成人不同,兒童的支氣管發育不成熟,管腔相對狹窄,肺炎支原體感染後導致的黏膜腫脹、分泌物堆積等,容易造成氣管堵塞。支氣管肺泡灌洗能稀釋分泌物使其排出,疏通氣管縮短病程,降低重症肺炎導致各類後遺症的概率。
“臨牀建議”指出,支氣管肺泡灌洗用於兒童治療,適應證包括“重症支原體肺炎”“大葉性肺實變或大面積肺實變”“塑形性支氣管炎”“粘液栓導致肺不張”等。
同時,術前還需要排除若干禁忌證,包括“新近發生的急性冠脈綜合徵,未控制的嚴重高血壓或者惡性心律失常”“主動脈瘤或食管靜脈曲張有破裂風險”“不能糾正的出血傾向,如嚴重的凝血功能障礙”等。
指徵、時機和禁忌證的評估與把握對臨牀醫生提出考驗。牟向東指出,建議或指南都只是“總體性描述”,重症支原體肺炎的概念本就相對寬泛,比如即便肺部沒有出現大片實變,但患兒若出現氣管堵塞,也需要進行肺泡灌洗。
“支氣管鏡畢竟是一種有創的檢查(/治療)。”牟向東表示。沖洗肺部有損傷黏膜等的風險,但延誤治療導致疾病進展,則可能加劇閉塞性支氣管炎、塑形性支氣管炎、支氣管擴張等併發症,給患兒健康帶來長期影響。
“一定要根據臨牀情況充分評估利弊。”牟向東強調,對於經驗不足的醫院或醫生,若沒有把握,應及時申請會診諮詢相關專家,“不能‘上手就治’,或乾脆直接無視這項技術。”
哪些環節需要重點關注?
根據“臨牀建議”,治療時的肺泡灌洗量需要格外關注。
“支原體肺炎的特徵是在肺部呈現出葉段分佈,病變往往集中在一葉或者一段,因此只需要灌洗一塊區域,對應的副作用風險也低。”牟向東表示,“有些患兒的病變可能波及兩個肺葉,此時適度增加灌洗部位也是可以接受的,但再多就不行。”
過大的灌洗量有引起患兒肺水腫、肺部感染播散、呼吸衰竭等的風險,“灌洗後還要最大可能的進行回吸收,缺乏經驗的醫生往往難以把握這些技術細節。”牟向東説。
為此,“臨牀建議”也詳細闡明瞭操作要點,“在觀察氣管支氣管的同時給予粘膜表面麻醉,並將鏡下可見的膿性分泌物吸淨,其後根據胸部CT確定支氣管肺泡灌洗部位,即靶肺葉或肺段。
在支氣管鏡嵌頓於所選擇的段或亞段支氣管後,通常使用塑料注射器經活檢孔快速注射等份的無菌生理鹽水,7歲以下每次5~10ml,7歲以上每次10~20ml,總量不超過100ml。以100~150mmHg負壓吸出,反覆3~4次,中間略休息或給氧。
每次灌注後採用100mmHg左右的負壓輕輕吸引至無菌塑料或硅化的玻璃回收容器內。總的回吸收率為40%~60%。回收液體過程中需要注意的是吸引負壓過大可能導致遠端氣道塌陷或氣道黏膜損傷。”
另一需要重點注意的環節則是麻醉,“臨牀建議”也列出了全麻操作及監測的細節與注意事項。
“支氣管鏡和胃鏡、腸鏡等不同,由於要伸入氣道,兒童對氣管鏡耐受性極差,煩躁哭鬧,局麻下很難配合支氣管鏡操作,有時需多人幫助才可能完成操作,家屬接受度也差。為此,我們在2019年開展了兒童全麻氣管鏡。”牟向東説。
全麻也意味着治療將更加依賴於院內的多學科合作,對麻醉醫生提出了高要求。“臨牀建議”指出,“手術前要給予患兒霧化及抗炎治療以平喘、解痙、降低氣道高反應,監測並調整水電解質平衡紊亂。
進入手術室,待外周靜脈液體通路建立後,給予患兒靜脈快速誘導麻醉,充分給氧去氮後插入相應喉罩或者氣管插管(建議給予6歲以下患兒置入喉罩維持機械通氣,6歲以上患兒酌情考慮選用喉罩或者氣管插管維持機械通氣),並通過專用“毛毛蟲”氣管內管延長管連接小兒螺紋管及麻醉機行機械通氣,麻醉維持採用全憑靜脈麻醉,以瑞芬太尼0.2-0.4μg/(kg·min)、丙泊酚4-6mg/(kg·h)持續靜脈泵注。
術中還要密切監測患兒脈搏、呼吸、血壓、心率、血氧飽和度及呼氣末二氧化碳分壓等,麻醉醫生需嚴密觀察術者操作期間氣道通暢程度、氣道壓,必要時及時提醒術者退出支氣管鏡以調整呼吸狀況,確保血氧飽和度不低於90%,短暫性允許高呼氣末二氧化碳分壓,呼氣末二氧化碳分壓不高於60mmHg。”
“包括支氣管鏡的選擇,外徑和內徑分別是多少?術中、術後出現併發症如何處理等,都是臨牀上容易犯錯的環節,我們都在建議中進行了詳細解釋。”牟向東説。
尚未普及的“老技術”
“醫學界”查閲發現,今年以來,有不少醫院都發布報道稱新開展了小兒支氣管鏡肺泡灌洗術。
葫蘆島市中心醫院是一所三甲醫院,今年3月28日該院發文稱,對一名10歲的肺炎患兒完成了葫蘆島地區首例小兒支氣管鏡檢查+肺泡灌洗術,填補了葫蘆島地區小兒支氣管鏡空白。同樣是三甲醫院,宜興市人民醫院也在今年完成了全市首例全麻下支氣管鏡下診斷性支氣管肺泡灌洗,稱結束了家屬去外地兒童醫院來回奔波的歷史。
事實上,支氣管鏡的肺泡灌洗並不是新技術,技術要點在經規範培訓後也不難掌握。牟向東對“醫學界”介紹,但由於兒科的發展存在困境,平時適用該技術的業務量也不高,因此小兒支氣管鏡肺泡灌洗術的開展,也多隻集中在專科兒童醫院或大三甲醫院。
“兒童支氣管鏡的開展本就不普遍,能夠做全麻、嚴格把握指徵和併發症處理的就更少了。”牟向東表示,“因此我們希望結合該領域現有的治療規範,以及我們的臨牀經驗,一方面是給新近開展這項技術的團隊提供參考。”
“另一方面,對於沒有條件開展的醫院,建議醫生提高相關意識,在常規的抗生素、激素等治療方案效果不佳時,儘快考慮讓重症患兒轉診至有條件的上級醫院,避免耽誤治療。”牟向東説,“我們觀察到,通過及時規範的支氣管肺泡灌洗治療,重症患兒的肺部病變好轉得非常快。”
“臨牀建議”指出,“全麻氣管鏡下簡單易行,鏡下可看到阻塞的氣管口膿性分泌物形成痰痂,痰痂甚至完全阻塞氣管,導致肺不張,這樣的情形常規治療痰液很難排出體外。
經沖洗後,吸出近端痰痂,後面的白色粘稠痰液湧出到鏡下,由氣管鏡吸出,鹽水灌洗至看不到膿性分泌物後殘液吸淨撤管。這有利於氣道分泌物的引流和吸收,會明顯改善患兒的臨牀症狀及體徵,促進大片陰影的快速吸收,也減少了患兒後遺症。及時行支氣管鏡肺泡灌洗治療可明顯改善重症肺炎支原體肺炎患兒的療效和預後。”
專家簡介

牟向東 教授
清華大學附屬北京清華長庚醫院呼吸與危重醫學科主任,主任醫師、教授,博士研究生導師。2005年於北京大學醫學部獲得博士學位。北京醫學會呼吸病學分會青年委員會第一屆副主任委員,中華醫學會呼吸病學分會第十屆青年委員會委員,中華醫學會呼吸病學分會感染學組委員。中華醫學雜誌/&英文版、中華結核和呼吸雜誌通訊編委和審稿專家。Thorax中文版感染專刊編委。在國內外醫學期刊第一作者發表論文100餘篇,其中在NEJM發表3篇,2016年榮獲“首都十大傑出青年醫生”稱號。