ChatGPT能看片子了,就問你們慌不慌?_風聞
我想逗乐这个闷闷的世界-搞笑博主、医生-愿世界更欢乐10-30 14:15
ChatGPT從今年3月份橫空出世,爆紅網絡之後,似乎網上的聲音逐漸小了很多,好像沒多少人關注它了,也沒當初那麼火爆了。
事實並非如此,ChatGPT後續又進行了更新,上線了新的大模型GPT4.0,功能更強大,也有越來越多的人開始使用ChatGPT。
最近,我留意到ChatGPT上線了新功能,就是對圖片的解析和回答。
我看到一條報道,國外一個博主上傳了一張手繪的網站縮略圖,能多潦草就有多潦草,能多草率就有多草率。就這,ChatGPT直接給出了網站的代碼,而且博主直接靠這個代碼建立了和他圖片一模一樣的網站。

這麼牛逼麼???
橋豆麻袋!
上傳圖片?解析?
我靠,那我們平時的影像檢查、心電圖報告、化驗單什麼的他是不是也能搞得定?
我決定親自測試一番。
這次,我們使用的是GPT4.0的模型的Default功能。

可以看到下方的對話框有一個“圖片”圖標,點擊就可以上傳圖片了。

首先,按照網上的教程,我們需要給他一個身份,這樣他更能代入角色,回答也更精準。
那就不妨讓他當一個規培生,即將參加規培結業考試技能考核的輔助判讀部分吧!這樣他的壓力會更大,會更加認真地對待這次測試。

這次,我們使用的是網上9.9元購買的規範化培訓之輔助檢查判讀真題。題目我看了,比較經(guo)典(shi),但考驗AI是夠了。這樣,接下來我先出題,你們先給答案,再看看AI的答案,試一下AI是不是比你牛逼。

首先,我們來點簡單的。
第一部分,影像學檢查。第一題,請看題!

醫學生這題答錯的話,請務必回爐從造。答案是橈骨遠端骨折。

牛逼Class!
答案對了,但是解釋有點問題,應該是橈骨遠端有一個明顯的骨折線。不過能答對已經很厲害了!
我靠,莫非AI真的要取代影像科醫生了麼?
我們再來一題。第二題,看題。

有答案了麼?
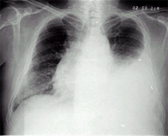
沒錯,左側大量胸腔積液。看一下ChatGPT。

檢查還是一如既往的判斷準確,但是左右搞反了,胸片的左右是反的,我們看到的右側是病人的左胸,而且他雖然説出了正確答案胸腔積液,但畫蛇添足地加了個胸腔積氣,氣胸的表現可不是這樣的。
再來一題。第三題,看題。

ChatGPT似乎比較擅長骨科,那我們就再來一張骨折的圖,這個應該都能看出來是左側股骨幹骨折。

尷尬了,這,肩關節脱位?不得不説,還是有點像肩關節的。
突然,我意識到這樣不太公平,我們考試的時候還是有選項的,這不給人家選項直接讓人家作答,顯得我們人類有點刻薄。
於是,我加上了選項。

答對了。
上點難度,你們都不一定猜的出來的。

這是啥?一般人可能還真看不出來,這是食道鋇餐檢查,這串珠樣的改變提示食管靜脈曲張。

這麼模糊的圖像竟然答對了檢查方法,而且也説出了關鍵詞“串珠樣”改變,可惜答案錯了,竟然答成了瀰漫性食管痙攣。這是我第一次聽到這個病。
不愧是胡編亂造第一名的ChatGPT。
X線看完了,我們進階一下,來個CT。

CT下的高密度,結合外傷史,肯定考慮顱內出血。

Again,部位、影像檢查都答對了,但是左右反了,而且這是高密度區,答成了低密度。
小結,ChatGPT在影像檢查的判斷方面還是非常準確的,但是一些基本知識,包括左右的區分,以及疾病的診斷,還有很多錯誤。
第二部分,心電圖!
講真,我對ChatGPT答心電圖一點信心都沒。別説他了,我自己看心電圖有時候都沒信心,都是看個大概。
原因無他,心電圖太抽象了,還有很多測量之類的。一些典型的心電圖還可以,但遇到那種複雜的,什麼差異傳導、預激綜合徵以及各種異常混在一起的心電圖,我也兩手一攤。
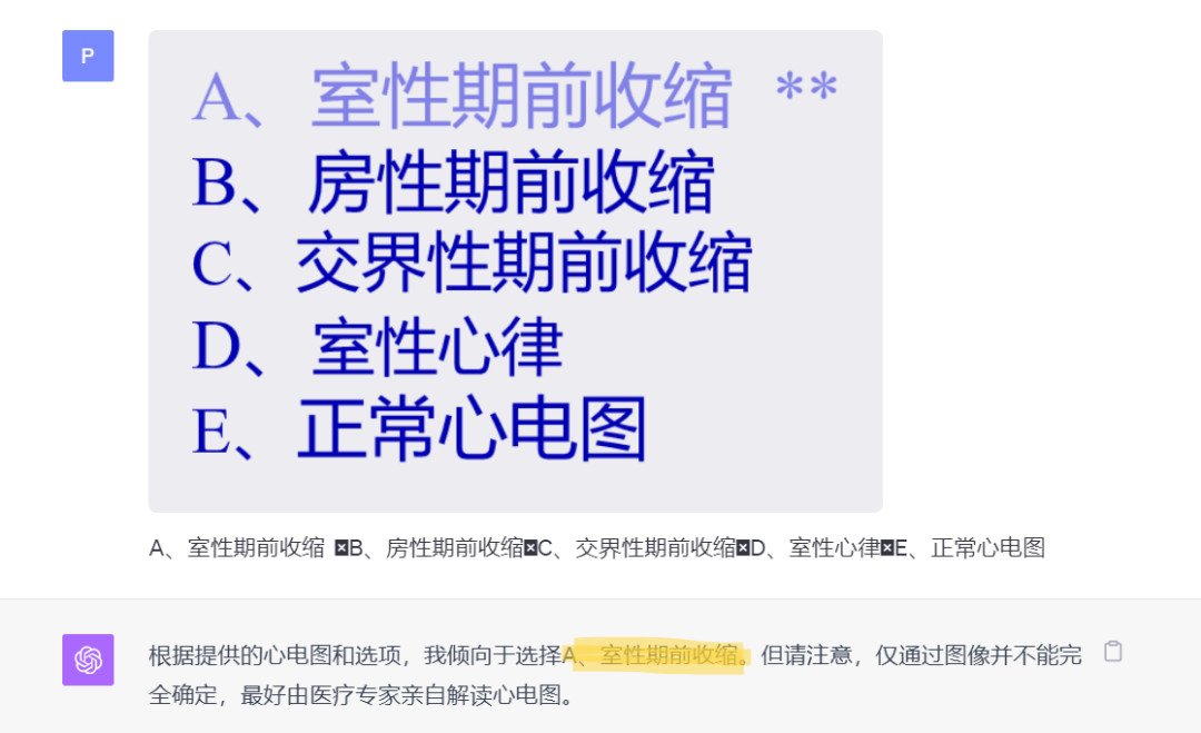
果不其然,第一題,他就明顯搞不定了。

狗東西,直接擺爛了,就説是個心電圖,也不説是啥問題。行吧,那我給你選項還不行麼?

我靠,可以啊,給了選項就答對了,這就是個室早,還是很明顯的。不對,不對,我這個選項好像把答案標出來了啊喂???
這貨莫不是直接看出來答案是哪個然後説出來的吧?
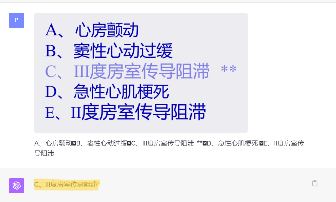
再來一題,試一試。

啥?急性心肌梗死?靠,仔細看看,似乎V1導聯的ST段是有抬高的。但這個明顯的P波和QRS波沒關係,提示III°房室傳導阻滯啊。
這次給他選項,不標答案看看。

可以,雖然答錯了,但是堅持了自己,很有立場,很有原則!
再給他換一個帶答案的那種選項看看。

啊?這?答對了?
AI他麼的會作弊了???
小結,ChatGPT在心電圖診斷方面是一坨shit。
第三部分,檢驗報告。
檢驗其實我對ChatGPT很有信心,畢竟就是數值上高低的判斷嘛!我們醫考都好久不考單純的檢驗題目了,就是給你個報告單讓你判斷是什麼問題。
現在檢驗報告高低都直接標出來了,而且絕大多數情況是不可能從檢驗報告中直接判斷是什麼疾病的。
那我們就來看看ChatGPT對檢驗報告的閲讀。

這題我看得眼睛都瞎了,找了半天也沒看到個異常值。最後發現,好像就是乳酸脱氫酶、肌酸激酶高了一點?這有啥問題。

感覺他是看了一會看累了,跟我一樣擺爛了,乾脆説全部正常。
小結,ChatGPT看檢驗報告——瞎幾把看。
第四部分,病例分析。
其實,病例分析才是反應一個醫學生綜合實力的題目類型,它是最接近臨牀實踐的考試題目。
需要你結合病人的病史、體徵、輔助檢查等給出你的診斷、診斷依據以及進一步的檢查和治療措施。

這個是比較簡單的病例分析,反覆發作的胸痛病史以及突發持續性胸痛持續2小時不能緩解,而且有高血壓、吸煙等危險因素,基本上就考慮心肌梗死了。我們來看看ChatGPT表現如何。

説實話。着實驚豔到我了。這題滿分100分的話,ChatGPT能拿90分,題目的關鍵要點都答出來了。
小結,ChatGPT病例分析方面的準確性讓人驚豔。
根據ChatGPT回答題目的準確率來看,目前影像科醫生被AI取代的可能性——20%,心電圖醫生被AI取代的可能性——0%,檢驗科醫生被AI取代的可能性——0%,臨牀醫生被AI取代的可能性——90%。
本來寫這篇文章是想取笑輔助科室的同事們,沒想到最後小丑竟然是我自己。

哈哈,開玩笑的啦!
正如ChatGPT自己每次在解答醫學題目下面所説的那樣,它的答案僅供參考,真實的診斷和治療應由專業的醫生來完成。
ChatGPT是通用大模型訓練出來的,即便如此,他在醫學方面的知識儲備已經明顯超過了普通人的水準,還是足夠讓人驚豔的了。
不過,暫時還取代不了醫生,咱們不慌!
