男子巨大腦瘤卒中昏迷不醒千里赴滬求醫,李士其教授迎難而上順利挽救生命_風聞
生活漫谈-2小时前
膠質瘤是顱內最常見的惡性腫瘤,發病率佔顱內原發性腫瘤的50%,居第1位。多見於成人,好發部位以額葉、顳葉、頂葉居多。膠質瘤患者男性發病率高於女性,發病年齡以成人多見,30-40歲為發病高峯年齡。不同病理類型的膠質瘤各有其高發年齡,室管膜瘤的高發年齡在10歲以前,星形細胞瘤多見於中年人,老年人以膠質母細胞瘤多見。
膠質瘤的臨牀症狀主要分為:
**(1)由腫瘤佔位引起的高顱壓症狀,**即由於顱內壓增高,引起患者頭疼、噁心、嘔吐、眼底水腫等症狀。其中,嘔吐並不同於普通的吃東西導致的噁心、嘔吐,而是一種噴射性嘔吐。
**(2)腫瘤侵犯不同的功能區,導致不同的功能障礙。**發生在額葉的膠質瘤會表現為精神行為的改變,尤其是老年人的額葉膠質瘤,會出現反應遲鈍、精神行為異常,甚至隨地大小便等;顳葉主管人體的語言和聽覺中樞,如果膠質瘤發生在此處,就可能出現感音性失語,就是別人説話,患者聽不懂,答非所問;發生在枕葉的膠質瘤會導致患者出現視野缺損;還有一種膠質瘤發生在大腦運動功能區,如大腦中央前回和中央後回,患者會出現感覺障礙或者運動障礙,也就是偏癱或半身麻木等。
**(3)絕大部分腦膠質瘤的患者都以癲癇發作為主要表現,**腫瘤發生的位置不同,癲癇發作的部位也不一樣。

▲ 腫瘤佔位會引起高顱壓症狀如:頭疼、噁心、嘔吐等
膠質瘤治療:以手術為主的綜合治療
根據世界衞生組織(WHO)制定的分級系統,將腦膠質瘤分為Ⅰ級到Ⅳ級。應該注意:Ⅰ級與Ⅱ級膠質瘤生長緩慢,大腦逐漸適應。當出現癲癇小發作、性格改變、記憶與學習障礙等症狀時應儘早進行影像學檢查。臨牀上,CT診斷膠質瘤病較為困難,MRI(核磁共振成像)在發現和顯示腫瘤範圍方面比CT更為清晰和敏感。
對神經膠質瘤的治療以手術治療為主,膠質瘤的手術切除原則是既要儘可能徹底切除腫瘤,緩解顱內壓增高和佔位效應,改善神經功能,又要儘可能保護腦重要的功能區。膠質瘤手術切除的主要目的是獲得病理診斷,為選擇合適的後續治療提供組織學依據;切除腫瘤消除佔位,降低顱壓;減輕腫瘤引起的神經系統症狀和體徵。
但由於腫瘤浸潤性生長,與腦組織間無明顯邊界,除早期腫瘤小且位於適當部位者外,一般都主張綜合治療,通過手術全切或近全切為放療和化療等聯合治療創造條件,即術後配合以放射治療、化學治療等,可延緩復發及延長生存期。
中年男子罹患腦腫瘤 保守治療14年後突發腫瘤卒中昏迷
患者為45歲中年男性,在2009年4月體檢時發現顱內佔位性病變,就診上海某三甲醫院行頭顱MRI增強提示,顱內有一8x8cm佔位性病變,考慮腫瘤巨大並且位置深在,給予化學藥物治療。2021年,求醫鄭州某醫院,給予中藥治療。2022年在當地三甲醫院複查頭顱MRI提示佔位性病變,繼續給予化學藥物治療。
今年10月7日,患者突發意識不清,伴右手不自主抖動,呼喚有反應,反應遲鈍,立即就診於當地醫院。行頭顱增強MR提示:左側額頂葉、胼胝體體部及壓部、丘腦佔位伴左側頂葉佔位,範圍較前明顯增大,均以瀰漫性膠質瘤考慮伴左頂葉腫瘤卒中出血。10月11日,患者症狀較前加重,出現嗜睡,反應遲鈍,右側肢體肌力明顯下降。當地醫院表示無法救治,希望渺茫。
之後,患者家屬抱着最後一線希望,慕名求醫上海藍十字腦科醫院。神經外科特需專家李士其教授、周範民教授、黎軍主任,神經外科6B病區潘仁龍主任對患者影像資料、病史進行了會診。李士其教授指出,根據影像資料結合病史,患者主要是吃了過多化療藥物導致腫瘤組織結構改變,發生腫瘤卒中,導致出血,產生顱內高壓導致患者昏迷,仍然有手術希望的,但是風險也是不言而喻。
李士其教授一錘定音,讓家屬看到一線生機。最終,在家屬的強烈要求下,決定接受手術治療。患者在昏迷5天后,順利由救護車護送跨越500多公里順利抵達上海藍十字腦科醫院,收治於神經外科6B病區。

▲ 患者昏迷,危在旦夕
迎難而上 李士其教授團隊順利切除8公分巨大腫瘤
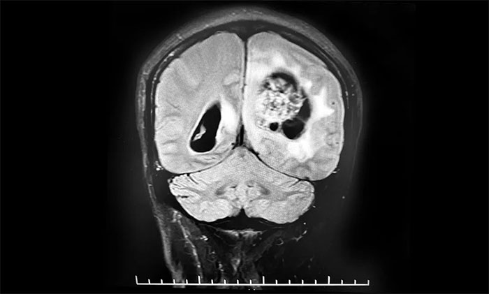
頭顱MRI平掃+增強+DWI+MRA提示,左側頂枕葉巨大腫瘤伴局部瘤卒中,幕上腦室系統、腦幹受壓變形,中線結構右移19mm,大腦鐮下疝形成。李士其教授等專家團隊會診指出,患者腦內巨大佔位,性質不明,並且患者已經發生腦疝昏迷,生命危在旦夕,應儘快進行手術治療,挽救患者生命,同時明確病理診斷。

▲ 左側頂枕葉巨大腫瘤伴局部瘤卒中

▲ 術前MRA,瞭解腫瘤供血情況
李士其教授指出,手術治療的目的不僅在於切除腫瘤,可以解除腫瘤及水腫對腦組織的壓迫,改善顱內高壓和由於物理壓迫造成的神經功能下降;還能明確病變性質、級別和惡性程度的高低、腫瘤屬於哪種類型,這些都有助於醫生分析預後、評估放化療的敏感性以及制定放化療及靶向治療方案等。只有明確病理性質及分子病理,才能有針對性的開展下一步治療,為後續治療打下良好基礎。
術前,潘仁龍主任給予患者脱水劑、白蛋白、甘露醇等藥物治療,患者病情逐漸穩定,可以睜眼,身體相關指標達到手術條件。為了進一步降低手術風險,李士其教授等專家團隊進行了詳細的術前準備,包括手術設計、切口大小設計、手術備血等。同時,術前進行了磁共振血管成像,詳細瞭解腫瘤供血情況,確保手術可控,萬無一失。
李士其教授表示,由於腫瘤較強的浸潤性,常導致與正常腦組織之間邊界不清。如何在儘可能切除病變組織的同時,以最小的創傷獲取最大的治療效果,是這一類手術的難點。神經電生理監測可以為主刀醫師提供重要信息,協助辨別重要神經或腦組織結構,以保護重要的神經組織,減少術後併發症的發生。
10月15日上午,歷時5個小時,籍由神經電生理監測對病灶的精準定位,有着豐富手術經驗的李士其教授在黎軍主任協助下,顯微鏡下精準地完成了腫瘤切除手術,並保留了患者腦功能區在解剖上和功能上的完整性。術後,患者神志清楚,肢體活動和語言功能正常,右側肢體活動逐漸恢復,無新發功能缺損,複查CT,中線移位已經迴歸正常,手術圓滿成功。

▲ 李士其教授團隊正在為患者手術
“一直不知道可以手術治療,耽誤了這麼多年,這次多虧了周範民教授、李士其教授、黎軍主任、潘仁龍主任!”術後半個月再見時,患者激動地説。
術後病理確診為膠質瘤,李士其教授據此與放療科專家行MDT討論,制定進一步放化療方案。有鑑於手術的成功,才為後續的綜合治療打下了良好的基礎,提高了患者的生存質量。李士其教授還不忘叮囑患者,出院後一定要定期檢查,以防再次復發和惡化。
李士其教授鄭重提醒,對於膠質瘤應爭取做到早期確診,及時治療,以提高治療效果。一旦進入晚期,不但手術困難、危險性大,而且常伴有神經功能缺失後遺症。