39歲男子突然意識不清摔倒在地 多學科協作順利切除顱內巨大腦膜瘤_風聞
生活漫谈-33分钟前
腦膜瘤通常呈膨脹性緩慢生長,早期可無明顯體徵表現。一旦瘤體壓迫重要神經功能區,可出現頭痛、癲癇,視覺、聽覺及肢體運動障礙等症狀。此時,腫瘤往往已經長得很大,若不及時治療,病情將呈進行性加重,甚至威脅患者生命。
患者張先生(化名)是一位“85後”。2023年11月中旬,張先生無明顯誘因突發意識不清,重重摔倒在地,左肩和頭部着地,身體一度僵直。約1小時後,他逐漸清醒,但左肩無法活動,疼痛難忍。
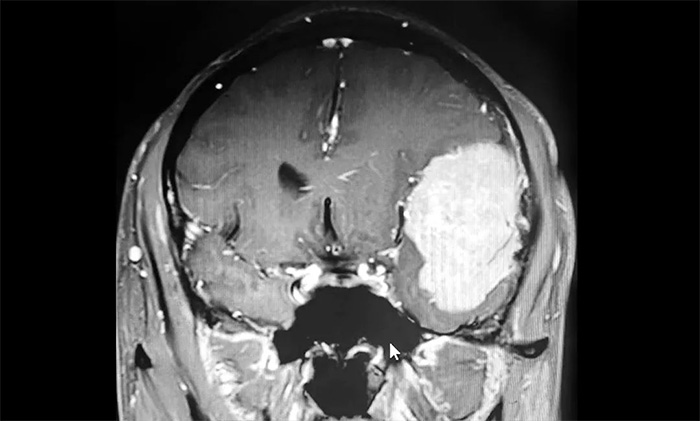
家人將其送往當地醫院,經檢查,肩胛骨骨折。進一步檢查頭顱CT,發現其左側額顳部團塊狀高密度影,最大直徑約6.0公分(釐米)。病灶體積巨大,患者來到上海藍十字腦科醫院尋求進一步治療。
入院後,患者收治於神經內科4A病區。完善針對性檢查後,經多學科綜合會診,患者左側額顳部實性佔位,最大直徑約6.0公分,體積如鴨蛋大小,考慮左側額顳部腦膜瘤。

▲ 腫瘤體積如鴨蛋大小
發生於額顳部位的巨大腦膜瘤,治療方法主要為顯微外科手術切除。該腫瘤不僅體積巨大,橫跨多個重要腦功能區,行DSA檢查發現,腫瘤包裹纏繞多根重要的動脈血管,血供十分豐富。若直接行手術切除腫瘤,容易因術中大出血而危及患者生命。

▲ DSA檢查示:腫瘤血供豐富
圍繞這一棘手難題,醫院多學科緊密合作,由神經外科學術副院長兼神經外科6A病區於耀宇主任精心設計手術方案,與神經外科沈建康主任、4A病區醫生團隊等共同開展嚴謹的評估討論,進一步優化完善治療方案。
大家一致認為,患者手術指徵明確,未見明顯手術禁忌。由於該腫瘤血供豐富,宜採取“術前栓塞+腫瘤切除”的方案,以減少術中出血,利於腫瘤完整切除,儘可能避免意外發生。
4A病區醫生團隊與患者和家屬充分溝通,明確手術方案的必要性和風險性,並獲得充分理解、簽字同意後,11月23日,醫院學術副院長兼神經內科4A病區主任席剛明教授在4A病區副主任王貴平博士及介入團隊協助下,首先為患者在全麻下行腦血管造影+腦膜瘤栓塞手術。手術過程順利,複查腫瘤供血血管基本不顯影,為下一步進行腫瘤切除創造了有利條件。
2023年12月7日,在進一步完善術中應急預案,做好充分準備後,沈建康主任與於耀宇主任聯手,開展了高難度的巨大腦膜瘤切除手術。

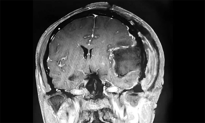
▲ 腫瘤順利切除
手術取左側額顳頂部入路,在顯微鏡下,沈建康主任與於耀宇主任通力協作,仔細分離腫物周邊密集的神經血管,逐步分塊切除腫物及附着的硬膜。切除腫瘤後,術區瘤腔未見活動性出血。歷時5小時,手術順利完成,留取病理標本送檢。

▲ 病理分析確定為纖維型腦膜瘤(WHO 1級)
術後,患者生命體徵平穩,安返監護病房。經對留取的腫物樣本進行病理分析,確定為纖維型腦膜瘤(WHO 1級),為良性腫瘤。
腦膜瘤雖多為良性腫瘤 切不可掉以輕心
腦膜瘤是起源於腦膜及腦膜間隙的衍生物,為顱內常見的原發性腫瘤,佔顱內腫瘤的15%~20%。
2021年世界衞生組織(WHO)CNS腫瘤分類將腦膜瘤分為WHO 1~3級,包括15種病理學亞型。其中,約80%為WHO 1級腦膜瘤,約20%為WHO 2~3級腦膜瘤。

沈建康主任介紹,腦膜瘤通常生長慢病程長,早期可無明顯體徵表現。但其呈膨脹性生長,患者往往以頭痛、癲癇為首發症狀,還可因腫瘤生長於不同的腦功能區,壓迫到神經和重要血管,出現視覺、聽覺、嗅覺及肢體運動障礙等不同體徵表現。此時,腫瘤可能已經長得很大,若不及時治療,病情將呈進行性加重,可致顱壓持續增高甚至腦疝形成,進而威脅到患者生命。
於耀宇主任則表示,該例巨大腦膜瘤手術達到腫瘤及硬膜全切,而大多數低級別腦膜瘤患者通過手術全切,能夠獲得良好的臨牀預後。個別不能全切的腦膜瘤,通過放射治療等綜合治療手段,亦可改善生活質量,提高生存率。因此,在出現相應症狀時,應及早就醫檢查診斷,積極干預治療,以免貽誤治療時機。