一箇中了“肺癌彩票”的男人_風聞
我想逗乐这个闷闷的世界-搞笑博主、医生-愿世界更欢乐38分钟前
週一的發熱門診。
人不多,感覺跟高峯時期相比已經有所下滑。空閒的時間,我把玩着手機,享受着這難得的無娃時光。
“已付款6元,找零0元,找零請當面點清。”走廊裏傳來結賬處機器冰冷的女聲。
有人掛號了,我收起了手機。心裏忍不住吐槽,都他麼找零0元了,還當面點清。設計程序的程序員就不知道加個程序麼?

正在我思索程序如何寫的時候,診室走進來一個男人。
戴着那種針織的冒險帽,穿着夜市上經常看到的打折處理的男士爹味夾克,腳上踩着一雙舊皮鞋。
我嗅到了一絲異樣,感覺不像是普通的感冒發熱病人。
“醫生,我前天開始發熱了,我們那的醫院治了沒用,就你們醫院做了支氣管鏡之後,我這就開始疼,然後就發熱。”
他語無倫次的,説話也沒什麼特別的條理,一會在我們醫院怎麼治了,一會又回當地了,一會什麼支氣管鏡了,一會什麼化療了。
我示意他打住。
我自己看病歷,點卡一看,“媽的,模板。”
“啥?”男人問了一句。
“沒事沒事。”我內心卻開始吐槽寫病歷的住院醫,真是模板一個字都不改啊。算了,我還是看檢查結果吧。
“那個主任讓我明天去病理科交錢,讓我看病理結果,不知道啥情況。”
我一邊聽他絮絮叨叨,一邊點開他的檢查報告。好傢伙,住了8次院了,門診也來過十幾次了,CT、MR、PET-CT不知道做了多少次了。
我依次點開,才知道,這老哥是小細胞肺癌,做了好幾次放化療了。
小細胞肺癌, SCLC。
聞者落淚,聽者傷心。
就像手機可以分為iPhone和非iPhone一樣,肺癌可以分為小細胞肺癌(Small cell lung cancer, SCLC)和非小細胞肺癌(Non-small cell lung cancer, NSCLC),可見它多牛逼、多與眾不同。
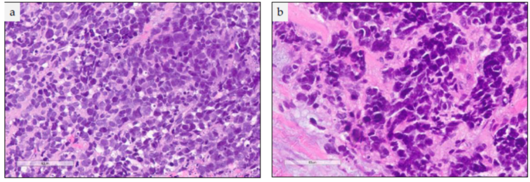
小細胞肺癌因為病理切片下癌細胞呈現為小圓細胞,所以獲名小細胞肺癌。其他類型的肺癌都叫做非小細胞肺癌,比如鱗癌、腺癌、腺鱗癌。

小小的圓圓的很可愛
和NSCLC相比,小細胞肺癌惡性程度高、侵襲性強,很容易復發和轉移,所以患者的中位生存期只有7個月。
其他的腫瘤都説5年生存期,小細胞肺癌不説,小細胞肺癌説2年生存期。因為大部分的患者在2年內都會復發、轉移和死亡。
我看了半天,終於把病史摸清楚了。老哥19年2月發現了左下肺佔位,後來確診了小細胞肺癌,開始在我們醫院化療,腦部做了放療預防腦轉移。
小細胞肺癌對於化療很敏感,他也達到了PR(部分緩解)。活了快5年了,真不容易。
上個月複查,發現右肺下葉又出現了佔位,於是做了PET-CT,提示惡性病變。然後做了支氣管鏡,取了活檢。

“哦,大概率是小細胞肺癌轉移了。”我心裏想,點開了他的活檢報告。
“病理提示:鱗癌。”

???
啥?鱗癌?
啥?左肺小細胞肺癌剛有點好轉,右肺又出現了鱗癌?
我瞪大了眼睛。
“醫生,啥情況啊?”
“你這個病灶是鱗癌啊,不是小細胞肺癌了。你啥運氣啊,這比中彩票還難了吧?”
我剛查了一下,中國男性肺癌發病率10萬分之73.9,小細胞肺癌佔15%,發病率就是10萬分之11,鱗癌佔30%,發病率就是10萬分之22。
兩者相乘就是先患小細胞肺癌,再患鱗癌的幾率,大約為2.42✖10-8。
而雙色球一等獎的概率是5.64✖10-8。
所以,這老哥比中雙色球一等獎的概率還低一倍。
只可惜,他中的是“肺癌彩票”。正常人得一次肺癌都夠受得了,他得了兩次。

聽我在那咋咋呼呼,他神色黯然,也沒生氣。給人一種什麼感覺呢,就像是一頭老黃牛,對生活失去了期待。
“醫生,那你看看我這該怎麼治呢?”
我又看了看他剛拍的CT,由於右下肺病灶堵住了支氣管開口,導致右下肺有些許炎症,同時還有白細胞增多。
“你這有肺炎了,要先抗炎治療了,你後面要去找你的主診醫生了,再掛個外科主任的號,你這個説不定還能切掉呢。”我給出了我的意見。
“謝謝醫生,那這是好事啊,總比小細胞肺癌轉移強啊。”他咧開嘴笑了。
我這才仔細打量起他的臉,疲憊又滄桑,看起來像50多歲了,不像是系統上顯示的40歲。被帽子遮得嚴嚴實實的腦袋,大概率是化療引起的光禿禿的樣子。
“你哪裏的?家裏人呢,怎麼沒陪你。”
“嗐,我浙江的,他們都忙,自己一個人看病習慣了,前面化療啥的都我自己。”
我給他開好了藥,他拿着注射單去輸液了。曾經在網上看到一個孤獨排行榜,最高一級的就是自己看病,老哥都自己化療了。。。
老哥交流起病情來也是毫無障礙,滿嘴專業詞彙,熟練地讓人心疼。
晚上11點半,他輸好液了,找我聊了兩句,我交代了注意事項,他道謝後轉身離去。
“祝你早日康復啊,老哥!”我忍不住喊了一句。
他擺了擺手,沒入了黑暗。
