AI檢測癌症,到底是不是智商税_風聞
酷玩实验室-酷玩实验室官方账号-2小时前
有時候,科學的進步,背後往往都有一種痛苦的催化劑,即使在AI領域也是如此。
例如,在地球的另一端,有這麼一位老人,他一生中三次踏入婚姻殿堂,卻不得不兩次面對生命無法承受之重——前兩任妻子,一個因乳腺癌的無情侵襲,在漫長的鬥爭後悄然離世;另一位,則是在與胰腺癌的艱難抗爭中,與他永別。
然而,這樣的痛苦,卻也在冥冥之中,為他指明瞭一個新的方向。
這位老者,便是AI三教父之一的傑弗裏·辛頓。

在辛頓的歷任妻子接受治療的過程中,他注意到,傳統的影像分析,依賴於放射科醫生的專業知識和經驗,這個過程往往既費時,又容易受到主觀判斷的影響。
於是,在2017年的《紐約客》採訪中他表示,深度學習將在5到10年內超過放射科醫生的診斷能力,並認為AI系統將能夠比人類醫生更準確地檢測疾病,如乳腺癌。
01 坎坷“看片”之路
儘管從現在來看,放射科醫生的飯碗依握得很牢,但某種程度上説,辛頓的願望,確實部分實現了。
今年5月30日,聯合國在瑞士日內瓦召開AI for Good全球峯會上,一位中國女性患者吹奏口琴的視頻吸引了全場的注意,她是全球首位AI胰腺癌早篩技術的受益者黃女士。
去年4月,本來只是因為一點小咳嗽,去醫院做了個常規的CT平掃,沒想到這一掃,黃女士竟然被AI識別成了疑似早期胰腺癌。

而醫院之所以想到要用AI,是因為她的CT影像被納入了阿里達摩院牽頭的“平掃CT+AI”癌症早篩項目。
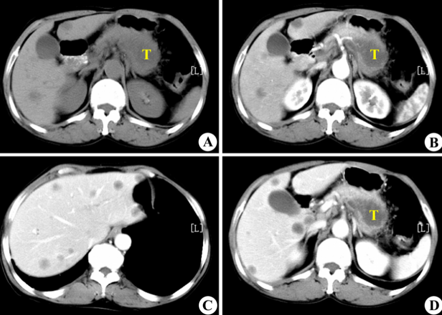
返回醫院複查後,AI的判斷果然是對的:胰尾部真的有腫塊!
在使用對比劑進行增強掃描後,確定其大小為25×31mm。這大約是一顆中等大小的葡萄那麼大。
正是因為發現得早,並很快進行了手術,黃女士才從胰腺癌這種全球生存率最低的惡性腫瘤之一的魔爪下倖存了下來。
在一般情況下,在被確診為胰腺癌後,僅有約5%的患者能夠存活5年。
而研發這項AI檢測技術的,正是阿里達摩院醫療AI團隊,以及其所打造出的胰腺癌檢測模型PANDA。
問題是,癌症早篩這件事,難度為什麼那麼大?AI又是怎樣突破人類極限,在很早的階段就將其檢測出來的?

關於第一點,首先,CT檢測癌症病灶的原理,是利用X射線獲取人體內部的斷層影像數據。
當X射線束穿過被檢查的人體部位時,不同組織密度導致X射線的衰減程度不同,從而在探測器上形成不同的衰減強度分佈。
由於正常組織和病變組織(如腫瘤)的密度存在差異,例如鈣化、血管增生等,因此在CT影像上就能清晰顯示出來。
但問題是,一些早期的微小病灶,大多數情況下,都未出現壞死、鈣化、出血等情況,未引起明顯的密度或信號變化。

加上這些早期病灶的尺寸,大都非常微小,大概在0.3到0.5毫米之間,往往處在常規CT分辨率的邊緣(0.5—1毫米),這就更難檢測了。
在這種情況下,更高級的增強CT就該登場了。
因為增強CT是在注射造影劑後進行的,而造影劑這個玩意兒,往往具有碘或含釓的化合物,由於原子序數較高,這些成分對X射線或MRI(磁共振成像)的輻射有着不同於人體組織的吸收特性。

於是,在造影劑的作用下,血管就更加明顯了。那些有異常血供(腫瘤往往有新生血管,血供更豐富)的早期病灶會在影像上更加突出,即便病灶本身很小,通過血流增強的差異也能更容易被識別出來。
這就好比在一幅畫中,用更深的顏色勾勒出原本模糊的輪廓,讓細節更清晰可見。
既然如此,那以後遇到癌症篩查方面的事,直接統一上增強CT不就好了?
02 難以承受的增強CT
統一用增強CT來進行癌症早篩,想法很好,可是很不實際。
最重要的原因是,增強CT這玩意兒,成本實在太高了。
這其中的大頭,首先就是造影劑。普通的造影劑價格大約在300-400元左右,而對腎臟損害較小的造影劑價格可能接近700元。

因為造影劑這東西,既要在體內達到理想的顯影效果,同時又要確保生物相容性好、毒性低。這就對其分子設計、化學合成方面的技術要求頗高。
技術難度大,能生產的企業就少。
這使得造影劑市場目前缺乏有效競爭,且由於專利保護的存在。製藥公司可以維持較高的定價水平。

數據來源:觀研報告網
再者就是,增強CT所用的設備,也比普通CT要金貴得多,例如高端CT掃描儀通常配備有更多的探測器排數,如64排、128排甚至256排。
更多的探測器,意味着能獲取更精細的圖像數據,但相應的成本也會跟着提升。
例如,一台只有16層的普通CT掃描儀,價格通常在30萬至50萬美元之間;而擁有256層的高端CT掃描儀,價格則在200萬至300萬美元之間。
如此高的成本,就帶來一個問題:在實際檢測中,造影劑是要按次消耗的,設備也會因使用次數產生折舊費用,如果全面用增強CT代替普通CT,很多時候就會出現“大炮打蚊子”的情況,造成醫療資源的極大浪費。

因為對於癌症檢測來説,醫生建議做增強CT的時候,往往是病情到了有明顯症狀的階段,例如出現持續性腫塊、不明原因的體重下降、持續性疼痛等。
倘若在看不出明顯症狀的情況下,醫生遇到任何一個病人,都優先選擇增強CT,那萬一最後檢測出的結果不是癌症,而只是假陽性或某些小病症咋辦?
白白浪費了昂貴的醫療資源不説,還可能擠佔真正需要這些檢測的高危患者(已出現明顯症狀)。
在醫療領域,這種兩難困境或悖論,被稱為**“早期檢測悖論”(Early Detection Paradox)。**

既然如此,那有沒有一種辦法,能夠既結合增強CT的技術優勢,同時又具備普通CT那樣易於大規模推廣的普適性?
這個時候,AI和深度學習不可替代的優勢就顯示出來了。
03 AI之力
在前面提到的阿里所使用的PANDA模型中,最重要的一個技術,就是一種叫做**“圖像配準”**的技術,將對比增強CT上的病變標註“複製”到非對比CT圖像上。
用直觀的語言來描述,這種做法就是:先找兩張CT圖片,其中一張是普通CT,另一張是增強CT,之後,PANDA通過將兩張CT“重疊”在一起的辦法,來將增強CT上的病變區域準確地映射到普通CT的相應位置上。

需要説明的是,這裏的“重疊”,並不是簡單地將兩張圖片進行物理上的重疊,而是通過算法,識別兩張圖片中的特徵,並計算出它們之間的對應關係。
用一個比喻來説明,這就像是你有一個筆記本(增強CT),上面用隱形墨水寫滿了筆記,只有在特定的光線(造影劑)下才能看到。
在正常的光線下,你看到的筆記本頁面(普通CT)是空白的。
而為了在沒有特殊光源的情況下,AI也能知道普通筆記本上的哪些區域,對應着原先隱形墨水寫下的內容,AI就要先將隱形墨水顯形狀態下的內容,複製到另一本普通的筆記本上。

這就相當於是在給AI一個“參考答案”,讓它學習如何在只有普通CT的情況下識別病變。
如此一來,AI就能結合增強CT高精準度,以及普通CT低成本,便於大規模普及的雙重優勢,在篩查癌症時,能夠又廉價又準確。
但問題是,這一過程看着簡單,但真正做到精通的團隊並不多。
這其中的難點就在於,如何在有限的模型參數下,提升AI對CT的識別精度。
這就像教一個人識圖,理論上,換上個更好的眼鏡(更強的識圖模型),會直接有利於提升識別精度,但問題是,更強大的模型,通常意味着更復雜的結構、更多的數據。
而在醫療影像領域,**高質量的標註數據尤其稀缺且昂貴,**獲取難度大。

更重要的是,模型結構越複雜,其解釋性就越低,決策過程就會變得越不透明。
這在醫療領域是個大忌,因為醫生需要理解模型為何做出某項診斷,畢竟性命攸關的事可不能靠概率來蒙,對吧?
於是,在參數有限的情況下,通過將識別步驟拆分成**三個不同的網絡階段,**就可以降低每個步驟的認知負荷,使識別過程更加有序和精確。
具體來説,在第一階段,PANDA會使用nnU-Net模型——一種特定的深度學習架構,精確地識別和分割出胰腺的區域。就相當於用畫筆勾勒出胰腺的輪廓。
在第二階段,一旦胰腺區域被定位和分割出來,PANDA的聯合分割和分類網絡,就會判斷這些區域是異常的還是正常的,如果異常,就要找出相應的病變區域。

第三階段(Stage 3)- 病變亞型分類:在檢測到病變之後,這個階段的目標是對這些病變進行更細緻的分類,比如區分不同類型的腫瘤或病變。
每個階段的專注學習,就像在逐步調整“眼鏡”的焦距,讓大腦(AI模型)能夠更清晰地看到並理解每一個細節。
04 民間版AI早篩神器
講真,雖然用AI來進行醫療影像檢查,早已在人類的預料之中,但這個技術真正成熟,卻是最近兩三年的事。
這也是為什麼,在阿里將這項成果的論文發表在《自然·醫學》上後,很多審稿人都不相信這類技術已經成熟到足以勝過人類了,以至於質疑聲不斷。直到後來,阿里在法蘭克福的節點上創建了一個可操作的demo,才消除了疑慮。
不過,或許令這些審稿人更難以相信的是,早在阿里推出PANDA之前,一個名叫coolwulf的中國“民間奇俠”,早在2018年就已經嘗試用50張1080Ti搭建了一個初級的 GPU 運算集,乳腺癌的檢測。

coolwulf,原名姜浩。
分別於南京大學物理系、密歇根大學核工程和放射科學系,攻讀本科和博士學位。
雖然主業是影像醫學,但業餘時間也是個做開源項目的程序員。由於目睹了自己年僅 34 歲的南京大學校友,由於錯過了乳腺癌最佳治療期,而不幸離世,coolwulf開始意識到,乳腺癌因為早期症狀不明顯,很容易耽誤治療。
於是,在悲痛的驅使下,具有編程天賦的coolwulf,開始嘗試打造一種專門用來“看片子”的AI,以便讓那些無法及時就醫的病人,提早得知病情。

coolwulf 姜浩( 右一 )
對於編程天賦頗高的coolwulf來説,撰寫對應的模型代碼,可以通過自學鑽研解決,但對於一個勢單力薄的個體而言,真正的難點卻在數據和算力方面。
在coolwulf創建這個項目的時間段(2018年),GPU的算力遠沒有今天這樣發達,A100、H100這樣的算力專用卡也還未問世,當時coolwulf能搞到的最頂級的GPU,就是主要用於遊戲的顯卡1080Ti。
而就算是這樣的顯卡,由於當時挖礦潮的原因,coolwulf還得跟各路黃牛和礦工鬥智鬥勇才能盡力買到。

對於深度學習來説,1080T最大的侷限性,就在於其缺少專門的張量核心(Tensor Cores)。
這是後來的圖靈(Turing)、安培(Ampere)和Hopper架構的GPU才引入的新功能。其極大地加速了深度學習中常見的矩陣運算和張量操作,從而提高了訓練和推理速度。
其次,從顯存上來看,其11G的顯存,對於深度學習而言也着實太小了(A100為40GB HBM2),因為足夠的顯存,在處理數據集或是複雜模型時則至關重要。

而在數據方面,由於醫療數據包含個人信息,往往受到嚴格的法律保護,因此,**很多高質量的醫療影像數據集往往並不公開,**或者在使用前需要經過嚴格的審批流程。
對於沒有機構和大企業作為靠山的個人來説,要搞到這些數據極其困難。
因此,coolwulf 先在佛羅里達大學的官網下載了 DDSM、MIAS 數據集。並專門寫了一個程序,將這些膠片翻拍的久遠數據轉為可用形態,之後又專門給巴塞羅那大學寫了一封申請信,請求獲得其非公開的乳腺癌數據集。

MIAS 數據集頁面
儘管歷經了這種種的侷限與困難,當coolwulf最終完成了 AI 檢測乳腺癌網站的搭建,並且向公眾免費開放後,腫瘤識別的準確率,仍然達到了 90%。
這足以見證當時深度學習在癌症檢測方面的強大。
對很多身患乳腺癌的患者來説,這樣的技術,無異於延緩了打開死亡之門的時間,是一種真正能夠救命的科技。
結語
儘管當時coolwulf搭建的AI檢測平台,已經在乳腺癌檢測的準確率上十分出色,但本着與時俱進的精神,在算力大爆發的今天,coolwulf也在其最新的AI檢測項目——NeuralRad上,將GPU從1080Ti換成了4090。
更難能可貴的是,在算力成本驟升的情況下,這個AI檢測項目仍然是免費的。

至於為什麼仍堅持免費,用coolwulf自己的話來説,是因為他知道,真正需要這種技術的患者,往往都身處那些醫療資源十分稀缺的地區。
在那裏,人們不僅很難找到經驗豐富的放射科醫生,甚至因為電力不足,這些地區的醫院還不能讓放療機器和 CT 同時工作。
這樣的地區,大都是一些窮困之國,貧瘠之地。對這些地區的百姓收費,既不現實,也讓人於心不忍。

甚至,考慮到這些地區缺乏相關硬件(GPU)的情況,coolwulf還特意將NeuralRad項目放在了雲端,進一步降低了使用門檻。
從這個角度上來説,無論是阿里達摩院的PANDA,還是coolwulf近期打造NeuralRad,除了在時間維度上,能儘早幫助患者篩查癌症,擺脱死神的魔爪外,在空間維度上,也讓更多醫療資源稀缺的地區,填平了資源的鴻溝,使更多原本絕望的,註定要逝去的生命迎來了轉機。

在當下關於AI行業的討論中,很多人都在質疑,目前的這場AI浪潮,究竟是不是一場泡沫,是不是一場炒作。
然而,AI在醫療影像方面的應用,卻實實在在地證明了,**AI終歸不是花哨的玩具,而是可以救人一命的關鍵力量。**僅憑這一點來説,這次的AI革命,就不可能是一場泡沫。
而通過技術手段,讓大多數人無解或難解的痛苦得以消除,這就是科技帶來的善。