一個外科醫生能有多牛逼?_風聞
我想逗乐这个闷闷的世界-搞笑博主、医生-愿世界更欢乐42分钟前
“牛逼!牛逼!”我嘴裏不停地吐出這個不雅的詞彙,內心激動不已,真他麼地酣暢淋漓啊。
當主任把病人的右上肺連同腫瘤侵犯的第一肋骨、鎖骨下血管、部分椎體一同拿出,砰的一聲放在彎盤裏的時候。
全場響起了熱烈的掌聲。
我看了下表,已經是晚上12點了。
手術枱旁邊還站着好幾個進修醫生,他們和我一樣,為剛剛進行的一台精彩的Pancoast腫瘤切除術感到驚奇和讚歎。
這是外科之美,是千金不換的滿足感。
病人來到主任門診的時候,我剛好在旁邊抄方。
“這個病人是Pancoast腫瘤。”主任看了一眼片子,説道。這個病人是外地胸科醫院主任介紹過來的,當地看不了,只能介紹到我們醫院。
我腦子裏飛速搜索這個詞彙,Pancoast腫瘤。啊!肺上溝瘤!

“沒錯,就是肺上溝瘤。”
肺上溝瘤並不是某一種特殊病理類型的肺癌,而是長在肺尖部的腫瘤。由於位置特殊,肺上溝瘤可以侵犯胸膜頂及其周圍的重要結構。
包括交感神經鏈和星狀神經節,導致Horner綜合徵。即患側面部眼瞼下垂(上瞼下垂)、無汗、瞳孔縮小、眼球下陷等。
可以侵犯臂叢,導致肩部的疼痛。
可以侵犯鎖骨下血管,引起患側手臂的腫脹。
可以侵犯肋骨和椎體,引起胸壁的疼痛。
肺上溝瘤的手術難度很大,因為侵犯了很多重要的臟器結構,手術的過程中很容易引起大出血。胸廓入口的解剖本來就很複雜,再疊加上腫瘤組織的侵犯,正常解剖結構被破壞,在切除腫瘤的過程中如何保證重要血管的功能,同時保證完全切除,手術難度可想而知。
肺上溝瘤的發生率很低,主任説北美一項集合了70家醫療機構10年的多中心隨機試驗,也就納入了一百多例患者。連我們醫院一年開兩萬台胸部手術,肺上溝瘤也就十幾二十例。
饒是我們主任經歷過這麼多的肺上溝瘤,看到這個病人的片子的時候,還是直呼厲害!
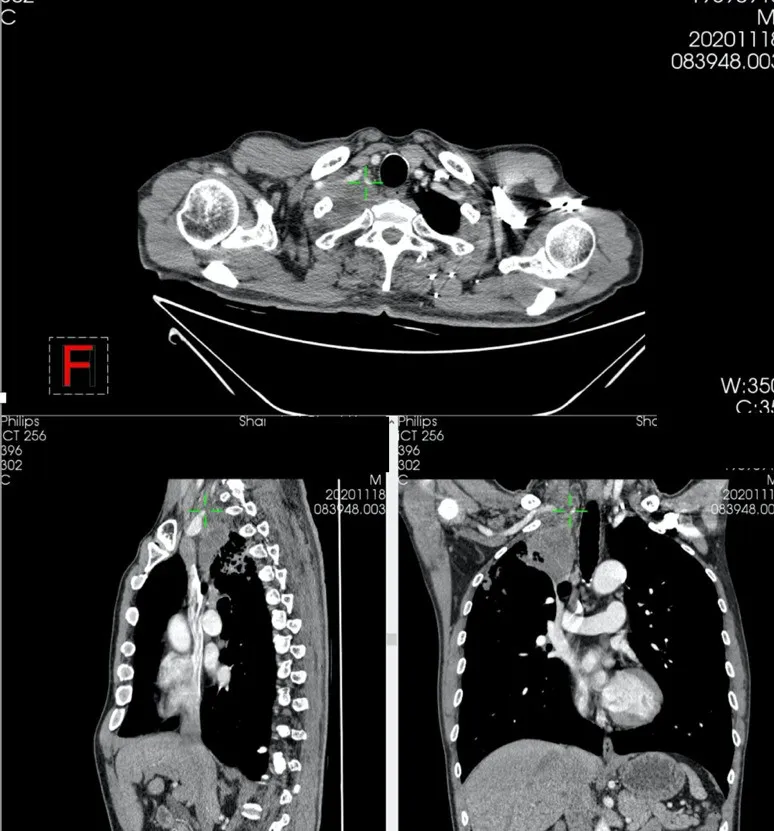
病變足足有8公分,從片子上看,鎖骨下血管,尤其是頭臂靜脈基本上看不到了,完全被腫瘤吃了,難怪病人胳膊很腫。第一肋、第二肋、鎖骨、第一椎體似乎也有侵犯。

非本例患者
連主任都有所動搖了。
“你們相信我麼?相信我就先去同步放化療,這樣效果更好。放化療結束後1個月再來找我,這是我的助理小王,你們到時候跟他聯繫。”
病人和家屬認真地點了點頭。只有信任醫生的患者,才能得到醫生的信任。
兩個月過去了,家屬找到了我,主任讓我給他排上了手術。
我和進修老師們一起看了看片子,雖然腫瘤縮小了很多,中間還有個大空洞,但肺尖部的重要結構還是看不清楚,被腫瘤完全侵犯。
PET-CT提示仍有代謝活性。不切除,肯定會復發。
切!
主任特意把手術排在了最後一台。我一開始不太理解,但想想自己原來上高中的時候,就喜歡把最難的題、最難啃的章節放到深夜,可以沉浸其中,大幹一場!
從早上開始,就不斷地有其他組的進修醫生過來房間裏問Pancoast瘤切除啥時候開始。
我想每一個胸外科醫生在手術排班表上看到“肺上溝瘤切除術”這幾個字,都會忍不住想來看一看吧,畢竟這是普通醫院醫生職業生涯都很難看到的高難手術。
“小王,你一會跟我上台。”主任對我説。
“啊?”
“啊什麼啊,怕什麼,有我帶你。”
主任這句話讓我定了心。我想起了那句話,我和庫裏合砍80分!我和馬雲平均資產400億!
有主任帶,我頓時安了心。這就是一個牛逼外科醫生給人的感覺,在場的麻醉、助手都會很安心。
消毒、鋪單、穿上手術衣,我站到主任的對面。
主任深吸一口氣,拿着柳葉刀劃出了一個U形的切口,從第二肋間到胸骨中線再折回來到鎖骨上。

類似於這樣,但是從第二肋開始
這是我第一次看到這樣的切口,主任説這叫前徑路切口。
電刀逐層離斷皮下組織、肌肉,
“這是胸鎖乳突肌的胸骨頭,這是鎖骨頭,這是肩胛舌骨肌。”主任一邊説,一邊把皮瓣遊離了出來,露出下面的肋骨和鎖骨。
“肋骨剪”,“咔嚓”,第二肋骨斷了。
“胸骨鋸”,主任接過了我在心臟外科非常熟悉的鋸子,滋滋滋,切開了胸骨正中線,彷彿德州電鋸殺人狂。
“你來。”主任讓我把剩下的胸骨橫線鋸開。
啊啊啊,我好興奮,接過胸骨鋸就要開始。“誒誒誒,慢點,貼着胸骨鋸,別把心臟搞破了。”
哦哦哦,我按動開關,頂着胸骨往前鋸,這感覺真踏馬爽啊!!!
主任讓我用紗布拉開胸骨,但是還是暴露不出來。
他用電刀一點一點遊離着,嘴上不停地説“厲害!厲害!他奶奶的真厲害!”眼神中卻流露出興奮的神情。
“真他麼的硬,這是腫瘤吧。我靠,腫瘤把第一肋骨全吃了。”雖然我們在術前片子上看到了第一肋骨骨皮質被破壞了,但沒想到這麼嚴重。
“這是肋鎖關節,我靠,根本打不開。”他努力地辨認着結構,不停地遊離着,臉上冒出了細密的汗珠。
啪嗒一聲,我們知道肋鎖關節打開了。
眼前的一幕還是讓我們驚呆了,肋鎖關節下一團血肉模糊的組織,哪裏還有什麼正常的解剖,這怎麼做啊。
“頭臂靜脈完全被腫瘤吃掉了。”
“頭臂乾和鎖骨下動脈就包在裏面。”
腫瘤就像《黑神話:悟空》裏的虎先鋒一樣,耀武揚威地站在我們面前,彷彿在説:“小樣,有本事你把我解剖出來呀!”
它手裏的人質正是胸廓入口處那些極其重要的血管和神經。
這樣的手術,99%的胸外科醫生都會放棄吧。
主任嘴裏不停地説着“厲害!真厲害!多久沒見過這麼叼的腫瘤了。”手上動作也不停,在我們根本看不出的解剖間隙裏,他不停地遊離着。
“喏,這就是鎖骨下靜脈。”一根細細的小血管,切斷之後只流出一點點血,根本看不出它原本的大靜脈的樣子。
“喏,第一肋切斷了。”
“喏,這就是鎖骨下動脈。”動脈的血壓很高,他三下五除二遊離出頭臂幹,然後用哈巴狗阻斷,再把近端和遠端都結紮了,這才用剪刀切斷。
“喏,這是臂叢。臂叢分為上幹、中幹、下幹,C5和C6神經根連接合成上幹,C8和T1神經根連接合成下幹。C7不與其他任何神經根相連,單獨形成中幹。”主任滔滔不絕地講着,我卻十分慚愧,早就把這些解剖知識還給老師了。
“這個病人臂叢可能能保住。”主任術前就告訴患者可能手術完手抬不起來,這下倒是個驚喜。
“鎖骨和第二肋應該也可以保住,胸壁不用重建了。”
我在旁邊看着這樣一個爛攤子,在主任的電刀之下,就這樣一點點逐漸清晰起來,他像魔術師一樣,在你眼皮子底下把腫瘤剝脱出來了。
你每個動作都看得懂,但你就是學不會,“這我學雞毛啊???”我忍不住感慨道。
我抬頭一看,手術枱旁邊站滿了進修大夫,這都晚上十一二點了,還這麼多人在看,大家的學習熱情太高了。
隨着最後一刀,原本與胸壁牢牢貼住的腫瘤一下子掉了下來,掉到了胸腔了。
啪啪啪,現場有一個進修老師鼓起了掌,其他人也跟着鼓了起來。“牛逼!太牛逼了!”現場的聲音不絕於耳。
主任卻十分淡定,似乎聽得多了。
他取來了人工血管,開始吻合鎖骨下動脈。4-0的prolene線和小針在他的手裏游來游去,不一會就把兩個斷端吻合好了。
我定睛一看,這針距,這邊距,跟縫紉機縫得一樣。我理解了一句話,外科手術,做到頂級水平,就真的是藝術。
阻斷一鬆,一點血不漏。
手術最困難的部分已經結束了,術野非常清晰地呈現在我們面前,彷彿一幅緩緩展開的千里江山圖,極其漂亮。

接下來的右上肺葉切除,對於主任來説如同砍瓜切菜一般簡單,10分鐘搞定。
手術做完了,我看了看錶,已經12點了。從下午7點到晚上12點,5個小時,我卻一點都不累,只覺得興奮地不行,彷彿磕了藥。
高難度的手術對於一個頂級外科醫生就是春藥啊!
這種滿足感,這種成就感,這種救人一命的自我實現,多少錢都換不來!
“主任,我什麼時候才能做成這樣的手術啊。”我不由地感慨道。
“首先,你得感興趣,你想做這樣的手術,這是第一步。現在多少人都不願意做這樣的疑難複雜手術了。做做小結節多舒服。”
我現在才體會到,為什麼有些外科醫生能成為頂級,正是源於他們對外科技術進步的不懈追求。
有的主任看到那種大瘤子、困難病例,就興奮地像個看到奧特曼的孩子。而有的人,則會早早地退縮。
縫完最後一針,手術結束了。我意猶未盡,手術室已經曲終人散,但這台手術註定在我的職業生涯裏佔據極其重要的位置,因為它點燃了我心中的一團火。
一團不會熄滅的火。