死鳥的脖子扭轉180度,路邊遇到這種詭異姿勢的鳥,別碰!快點遠離它!_風聞
把科学带回家-把科学带回家官方账号-专注于孩子的科普教育47分钟前

圖片來源:網絡
撰文 | 阿嫺
審校|河邊的卡西莫多
近日,有網友在社交媒體上發佈了一張令人毛骨悚然的照片——一隻鴿子的脖子扭曲成180度,頭部後仰,眼睛直直地望向天空,彷彿在“觀星”。

圖源網絡
評論區有網友指出,鳥類擺出這種詭異的姿勢並非超自然現象,而是感染了禽類致命的傳染病“新城疫(Newcastle Disease)”。據説它能讓整座養雞場全軍覆沒,不僅讓養殖户聞風喪膽,甚至被世界動物衞生組織(WOAH)列為“必須通報”的疫病。
新城疫,又稱亞洲雞瘟或偽雞瘟,是由新城疫病毒強毒株(Newcastle Disease Virus,NDV)引起的一種高度接觸性禽類烈性傳染病。新城疫病毒最早於1926年在印尼爪哇被發現,隔年又在英國泰恩河畔紐卡斯爾(Newcastle)被發現並以此得名。

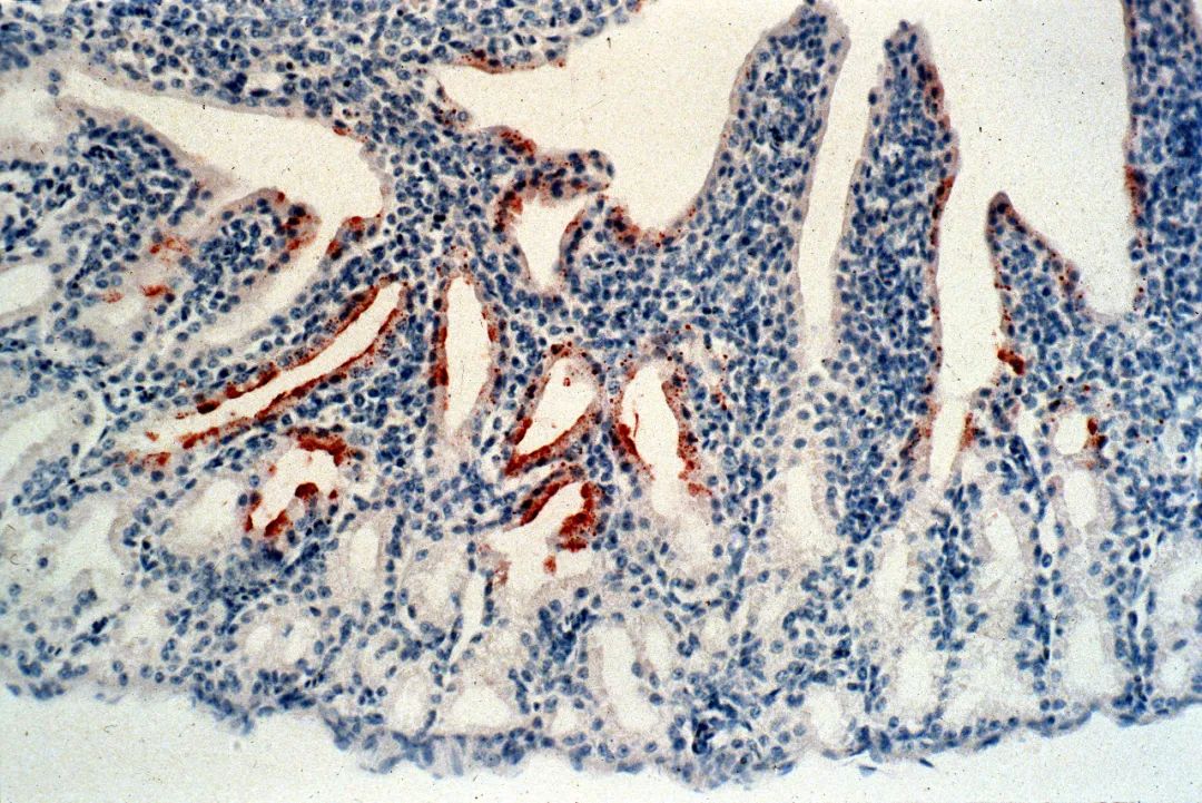
新城疫的死亡率高達100%。這張圖片展示了雞眼結膜中的新城疫病毒,以棕色斑點表示。|CSIRO-dr. Peter Hooper, CC BY 3.0
這種病毒主要感染雞、火雞、鴿子等家禽,鴨、鵝等水禽可能無症狀但也會攜帶該病毒。新城疫的傳播速度快得驚人,堪稱禽類界的“閃電戰”,病禽的口鼻分泌物、糞便、羽毛均可傳播病毒,受到污染的飼料、水源、運輸工具甚至人類衣物都可能成為“幫兇”。
新城疫的潛伏期為2至15天。受感染的鳥類可能表現出幾種症狀,包括呼吸道症狀(喘氣、咳嗽)、神經症狀(抑鬱、食慾不振、肌肉震顫、翅膀下垂、扭動頭部和頸部、完全癱瘓)、眼睛和頸部周圍組織腫脹等。強毒株可使雞羣全部死亡,弱毒株僅引起雞羣呼吸道感染和產蛋量下降。
值得注意的是,這種能引發鳥類神經症狀的病毒,與另一種能引發“殭屍鹿病”的朊病毒有着驚人的相似之處。我們曾在一篇文章中詳細報道過,感染朊病毒的鹿羣會出現異常攻擊行為、流口水、消瘦、神情呆滯等神經症狀,感興趣的朋友可以點擊下方鏈接,跳轉閲讀。
如果你在路邊發現了這種患病的禽類,可千萬不要靠近,也不要動手觸摸它,因為新城疫可傳播給人類。大多數情況下是無症狀的,少部分情況下會導致人類出現結膜炎、輕微發燒以及流感一樣的症狀。
新城疫不僅危害鳥類健康和人類安全,還會造成巨大的經濟損失。近年來,全球多地報告了新城疫疫情——2023年7月,波蘭波德拉謝省一農場暴發疫情,超過1.6萬隻雞被撲殺。2024年7月,巴西南里奧格蘭德州一家禽養殖場暴發新城疫,當地政府宣佈進入90天的動物衞生緊急狀態,並暫停禽類產品出口。

肉雞也出現了類似的“觀星”症狀。|L. Mahin, CC BY 3.0
然而,科學的發展往往充滿意外之喜——這種讓養殖業聞之色變的病毒,近年來卻被科學家發現了另一面:新城疫病毒竟能‘化敵為友’,成為對抗癌症的潛在武器。NDV的溶瘤作用,能精準識別並殺死癌細胞,卻對正常細胞‘秋毫無犯’,同時可激活宿主抗腫瘤免疫反應。
2025年1月17日,廣西醫科大學的研究團隊在國際頂尖學術期刊Cell上發表了研究論文,提到了他們開發的一種靜脈注射的新型溶瘤病毒療法——攜帶豬α1,3GT基因的重組新城疫病毒(NDV-GT),用以治療晚期癌症。

癌症患者接受靜脈注射後,這種病毒能夠將腫瘤偽裝得“看起來”像外來的豬器官,引發超急性排斥反應,誘騙免疫系統攻擊這些腫瘤,增強抗腫瘤免疫反應,從而阻止腫瘤的生長,甚至完全清除腫瘤……
參考資料:
[1]https://www.agriculture.gov.au/biosecurity-trade/policy/australia/naqs/naqs-target-lists/newcastle
[2]https://news.bioon.com/article/71c2866342e0.html
[3]https://en.wikipedia.org/wiki/Virulent_Newcastle_disease#Transmission
