吃魚最怕的事發生了,一根2.5釐米長的魚刺扎進肝臟裏……_風聞
把科学带回家-把科学带回家官方账号-专注于孩子的科普教育1小时前

(圖源:網絡)
撰文 | 蘇澄宇
審校 | Skin
你敢信,一根魚刺扎進肝裏足足有5個月……
2011年,一位沙特男子突然開始高燒不退,腹部隱隱作痛。他以為只是普通的感冒發燒,吃點退燒藥或許就能好轉。可這次,症狀卻異常頑固。

圖源:eating well
來到醫院,醫生通過超聲波檢查發現,他肝臟右葉有一個膿腫。抗生素治療和膿液引流後,他的症狀暫時緩解,順利出院。誰知,這只是故事的開始。
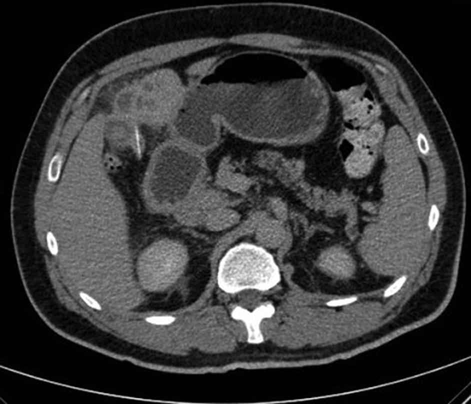
一個月後,阿卜杜勒再次被高燒和劇烈的腹痛擊倒。這一次,情況似乎更嚴重了。他的白細胞計數飆升,肝功能檢查顯示異常。更令人不安的是,CT掃描揭示了一個令人震驚的事實:他肝臟裏竟然藏着一根2.5釐米長的針狀異物!
讓我們把時間倒回五個月前。那時的阿卜杜勒(化名),和家人圍坐在餐桌旁,享用了一頓魚肉,他吃得津津有味,完全沒有察覺有什麼異常。他回憶説,當時沒有任何不適,甚至沒有感覺到吞下了什麼奇怪的東西。
CT掃描顯示,肝臟第四段有一個5.6釐米×7.5釐米×7.7釐米的膿腫,而那根“針”赫然是一根魚刺!

腹部 CT 掃描顯示肝臟左葉有異物 圖源:文獻
這根2.5釐米長的魚刺,尖鋭而堅硬,深深地嵌在肝組織中,周圍包裹着炎症和膿液。醫生們決定立即手術。打開腹腔,他們不僅清除了膿腫,還小心翼翼地取出這根罪魁禍首——一根細長的魚刺,宛如一枚小李飛刀。

圖源:文獻
手術中,醫生還發現了大網膜粘連在十二指腸和肝臟之間,十二指腸內壁有一處癒合的瘢痕。
這條線索指向了一個驚人的事實:這根魚刺很可能從十二指腸刺穿腸壁,穿越腹腔,最終“潛入”肝臟,引發了反覆的感染。術後,阿卜杜勒的症狀迅速消失,三個月隨訪無任何復發。這場危機總算告一段落。
這並非危言聳聽。首先,我們需要明確一個基本事實:絕大多數(超過90%)被意外吞下的異物,都能幸運地通過漫長的消化道,最終安全排出。由吞食異物直接導致的胃腸道穿孔,在臨牀上是罕見事件,總體發生率低於1% 。
然而,這個數據具有極大的迷惑性。因為一旦我們將目光聚焦在魚刺這種尖鋭異物上,情況就變得十分嚴峻。學術界公認,魚刺是導致胃腸道穿孔的最主要元兇 。在亞洲,魚刺甚至佔據了上消化道異物總數的50%至90% 。一旦魚刺在消化道內發生嵌頓(被卡住),其穿孔風險據報道可高達35% 。

圖源:Salmon Trout Steelheader
一根魚刺從被吞下到刺穿內臟,並非簡單的物理穿刺,而是一個複雜的病理生理過程。魚刺和所有被吞下的異物一樣,傾向於在消化道的生理性狹窄處或鋭利轉角處停留。這些地方就像消化道里的“急轉彎”和“窄巷子”,是天然的事故多發地。
一旦魚刺在這些地方卡住,其尖鋭的末端會像鈎子一樣“抓住”消化道壁的黏膜。隨後,持續的壓迫會導致局部組織缺血、壞死。一個關鍵的病理過程被描述為:壞死的組織會形成一條“黏膜帶”,反過來將魚刺“鈎”得更牢 。這解釋了為什麼有時候吞嚥食物不僅無法將魚刺推下去,反而可能使其刺得更深。

圖源:radioreport
隨着時間的推移,被“錨定”的魚刺在腸道蠕動的推擠下,最終會穿透脆弱的消化道壁,進入腹腔,從而引發一系列災難性的後果。
更危險的是,魚刺在穿透消化道後並不會“安分守己”,它會繼續“遊走”,侵入鄰近的任何器官,比如肝臟。
魚刺穿孔最詭異的一點是,其臨牀表現極不典型。症狀可以從毫無感覺,到輕微腹痛,再到劇烈的腹膜炎。更重要的是,絕大多數患者完全不記得自己吞下過魚刺。
這種“遺忘”使得診斷變得異常困難。當患者因腹痛就診時,如果不能提供“曾進食魚類”這一關鍵信息,醫生很難在第一時間聯想到魚刺穿孔的可能,從而可能導致誤診和治療延誤。
所以,吃魚還是得小心點好。
參考資料:
[1]https://pmc.ncbi.nlm.nih.gov/articles/PMC3316812/pdf/bcr.09.2011.4838.pdf
[2]lhttps://pubmed.ncbi.nlm.nih.gov/39575044/
[3]https://pmc.ncbi.nlm.nih.gov/articles/PMC8370622/