車禍倖存後,他堅信自己已經死了,並且再也無法認出人臉_風聞
把科学带回家-把科学带回家官方账号-专注于孩子的科普教育24分钟前
撰文 | 烏其多
審校 | 阿嫺
沃倫·麥金萊(Warren McKinlay),曾在皇家電子機械工程兵部隊服役七年。他健康、英俊、為人熱情、性格果敢,擁有一個完整而幸福的家庭。

沃倫和妻子薩拉以及兩個孩子(圖片來源:Press people)
然而在2005年、他35歲時,經過一場嚴重的車禍以及腦損傷後,沃倫再也認不出妻子的臉,對着鏡子裏自己的臉也越來越陌生,他堅信自己已死、開始絕食——顯然,他認為幽靈是沒必要吃飯的。

沃倫駕駛着圖中摩托車狠狠撞向樹幹(圖片來源:Press people)
他孤獨地、彷彿鬼魂一般度過了18個月行屍走肉般的生活,也似乎旁觀了一場屬於自己的漫長又詭異的葬禮。
“我對事故後六週的記憶完全空白。”
“我知道這聽起來極其怪異,但我真的相信自己在那次車禍中死了,但不知為何靈魂沒有離去。”“我確信我不需要吃東西,因為我死了,不再需要食物了。我會在房間裏坐上幾個小時,拒絕和任何人説話。”“我完全封閉了自己,莎拉充滿愛意,嘗試了各種辦法幫助我,但我覺得無法和她分享我身上發生的事。”
“我會聽到我父親叫我的名字,就像他和我同處一室一樣,但那不可能是他,因為他住在幾英里外。”

沃倫與墓碑(圖片來源:Press people)
最終,沃倫被確診患上了科塔爾綜合徵(Cotard Syndrome),又名行屍綜合徵(Walking dead syndrome)。
……
1880 年,法國神經學家朱爾斯·科塔爾在觀察一名 43 歲女性“X夫人”的病例後,描述了一種妄想性精神障礙。“X夫人”的一些具體表現如下:
在肉體上她痛覺缺失、認為自己大腦、神經、內臟都沒有了,只剩皮包骨,有絕食和自殘傾向。在精神上,有着強烈的詛咒妄想和附身妄想,認為自己肉體已死,但靈魂永生。

腐爛、被撕裂的感覺包圍着她(圖片來源:ebuddynews.com)
1882 年,科塔爾又發表了一篇包含11 個病例的後續論文,這種精神障礙被正式稱為科塔爾綜合徵(CS)。他還描述了一些額外的特徵,如否認外部世界的存在,視覺和聽覺幻覺,重複喃喃自語,以第三人稱談論自己,感覺身體移位和變形,等等。
全球範圍內,迄今為止共發現了200多例CS患者,其中有一小部分人死於絕食。
在《沈漁邨精神病學》一書中,也記載了一個CS病例:
典型案例:患者,男,37歲。被強制入院後對醫生説:“我已經無藥可救了,醫生你們別費心了,我的腦袋已經空了,心跳都快沒有了,胃腸已經液化了,血液已經凝固,四肢已經乾枯,我就是一具殭屍。”他要陪護的老婆帶他回家,稱死也要死在家裏。

《沈漁邨精神病學》第6版(圖片來源:網絡)
甚至在《漢尼拔》電視劇裏,就有一集描述了一個恐怖連環殺人狂:她喜歡藏在牀底下無差別殺人,最終揭秘她其實是個CS患者,由於認不出自己的臉和別人的臉,感到恐懼才殺人。

向左滑動查看“躲在牀下的連環殺人犯”(圖片來源:《漢尼拔》)
這個橋段雖然很有創意,但現實裏的CS患者傷害別人的概率極低(幾乎沒有明顯暴力傾向患者的案例),至於為什麼,我們來解構一下CS患者的內心世界:
CS經常與重度抑鬱、精神分裂症或者躁鬱症之類的疾病一起出現。研究表明,該症狀可能與顳頂葉(Temporoparietal Junction, TPJ)腦功能障礙有關,這種障礙會影響到面部和身體識別。

顳頂聯合區位置 (圖片來源:scienceabc.com)
早期的神經影像學研究發現了很多CS 患者的左顳頂葉和右顳葉有損傷(並非全部都是這樣)。2004年後其他研究發現CS 患者其他特定腦區(主要是額頂葉皮質、基底神經節和丘腦) 有明顯改變,經過治療後部分症狀緩解。
從神經病學的角度來看,患者腦中有兩塊區域——感覺系統和邊緣系統。位於顳葉下表面的杏仁核與下丘腦負責邊緣系統,也就是用於處理情緒和記憶。
理論認為,如果顳頂聯合區被刺激不足,或者斷裂損傷,導致感覺——邊緣系統交流不足,那麼儘管病人對於世界的視覺、聽覺和嗅覺仍能正常運行,但是他已經無法產生相應的情緒反應了。

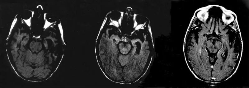
一位科塔爾症患者的顳頂聯合區磁共振成像顯示雙側顳葉前部萎縮 (圖片來源:pmc)
比如説當沃倫看到自己的妻子,他會承認那個人看起來確實像他的妻子,但是人在遇見熟人,尤其是愛人時的那種温馨的感覺,他卻一點都體會不到。這種在情緒和感官之間的斷裂延伸到了他生活的各種體驗之中。
試想有一個人,他的情緒忽然與其他人疏離開來,他感到與現實脱開了關係,彷彿自己正從遠處遙望世界……這聽起來就很像死亡,患者就會覺得自己不存在了,自己變成了一個鬼魂——這樣對自己身體所有權產生懷疑的不幸者,比起傷害別人,自然更傾向於傷害自己。(本文沃倫心理解析主要來自《神經的邏輯》一書)
CS鑑別診斷:
CS患者的診斷判斷,除了腦損傷鑑定、顳頂葉腦功能測試、心理測試、語言測試外,還需要伴隨着身體失認症來區分:該病患者對自己身體部位意識不清,似乎矛盾地認識到自己擁有器官,但又似乎對此感到困惑。
CS治療:
用於CS的常見療方包括藥物治療、CBT療法、談話療法等。儘管症狀很獨特,但CS綜合徵可能出現在不同的神經精神疾病中,這在一定程度上使其難以系統歸類。目前,它既未被《精神障礙診斷和統計手冊》(DSM)承認為一種特定疾病,也沒有被世界衞生組織的《國際疾病和相關健康問題統計分類》(ICD)進行分類。由於缺乏具體信息,醫生不得不多次嘗試治療,因此總體來説療效並不穩定。
極其巧合的是,文章開頭的沃倫·麥金萊在康復診所結識了另一位科塔爾綜合徵患者,後者認為過去的自己已經死去,現在存在的是另外一個,需要以新的身份活下去的人。
在互相扶持下,兩人已漸漸走出了陰霾。雖然他們無法再從事患病之前的工作,但他們駕駛着特別改裝的手動控制卡丁車,在歐洲各地比賽,找到了人生的新方向——或許他們的經歷也證明,人生的容錯率大得超乎想象。

沃倫重啓了自己的人生(圖片來源:Press people)
CS的雙胞胎:卡普格拉妄想
CS常與卡普格拉妄想進行比較,後者是一種認為自己熟人被冒名頂替的妄想。比如妄想自己的家人不見了,父母的牀上躺着的是一對陌生夫妻,甚至出現認為生活中到處都是“偽人”的恐怖聯想。
研究認為,CS可能與卡普格拉綜合徵具有相同的病理生理基礎,在卡普格拉綜合症中,患者傾向於向外投射(偏執風格),在CS中則傾向於向內投射(抑鬱風格)——這就是説,這兩種疾病可以被認為是“一病兩面”。

卡普格拉綜合徵:你知道這個人長得就像你的愛人,但你就是覺得他們不熟悉(圖片來源:CREATIVEMARC / ISTOCKPHOTO)
又是顳頂聯合區的鍋:顳葉癲癇
無論是CS還是卡普格拉妄想症,目前主流觀點都認為是顳頂聯合區“斷裂”、“麻木”造成的。那麼,假設顳頂聯合區受到了過度刺激,又會怎麼樣呢?那就有可能產生“顳葉癲癇”:患者的神經元過度活躍,甚至感覺身邊出現了另外一個實體、一個鬼魂、或者其他幻覺意向。
認知神經科學之父、著名心理學家邁克爾·加尼加就主張,顳葉癲癇或許就是某些人自稱獲得靈性啓示的原因——比如他認為畫家梵高就具有該疾病的一切症狀。

梵高在法國南部癲癇發作最頻繁之時,也正是他作品產出最盛之時,比如《星空》、《自畫像》、《麥田羣鴉》等
參考資料
[1]https://www.tandfonline.com/loi/iirp20
[2]https://www.mirror.co.uk/news/real-life-stories/soldier-walking-corpse-after-rare-9367576
[3]https://www.tandfonline.com/loi/iirp20
[4]https://pmc.ncbi.nlm.nih.gov/articles/PMC3210438/
[5]https://onlinelibrary.wiley.com/doi/abs/10.1111/j.1600-0447.1995.tb09764.x
[6]書籍 《神經的邏輯》 埃利澤·斯滕伯格著