脖子總是黑黑的洗不乾淨?別大意,這可能是身體在“求救”!
最近,福建福州的一則新聞引發關注,衝上了熱搜。一名13歲男孩,家人發現他的脖子總是黑黑的。原以為是“不愛乾淨”,便反覆清洗,可脖子依舊黑。
直到前往醫院皮膚科檢查,才確診為黑棘皮病。另外,新聞中還提到,男孩平時酷愛零食,一到夏天更是喜歡用冰飲料“下飯”,現在身高1米73,體重高達97.5公斤。

熱搜截圖(來自微博)
究竟什麼是黑棘皮病?它又為何會發生呢?這和孩子的飲食習慣、體重有關係嗎?今天,我們就來聊一聊這一現象。
什麼是黑棘皮病?
黑棘皮病是一種皮膚疾病,它的病名就描述了疾病的形態,特點是:
有色素沉着,顏色變深(灰色或者褐色),甚至發黑。
病變的皮膚粗糙、增厚,像棘皮一樣,仔細看的話,會有許多細小隆起,觸感柔軟,猶如天鵝絨一般。
另外,它的位置很有特徵性,特別容易出現在脖子,左右對稱。除了脖子外,還常見於腋窩、腹股溝、乳房下等皮膚褶皺處。
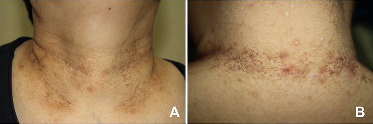
下面的圖片,就是黑棘皮病的“證件照”。

典型的黑棘皮病(來自參考資料)
那麼,要真是黑棘皮病,嚴重嗎?這得展開説。
黑棘皮病本身,其實不嚴重,它幾乎不疼不癢,也不影響身體健康,甚至都不需要刻意治療。
但是,得了黑棘皮病,一定要引起重視,因為它不會是無緣無故發生的,而是可能有其他的病因。
黑棘皮病不能小視
可能是疾病信號
1.肥胖
黑棘皮病最常見的原因是肥胖,尤其是未成年羣體。
數據顯示,肥胖型黑棘皮病最為常見。具體來説,有研究發現,正常體重、超重或肥胖的7~19歲羣體中,分別有3%、11%以及51%的人患有黑棘皮病。對於新聞中提到的那個體重將近200斤的男孩,很容易中招黑棘皮病。
在治療方面,對於肥胖型黑棘皮病患者,最為關鍵的就是控制體重。在醫生的指導下,合理飲食,減少高熱量、高脂肪、高糖食物的攝入,增加膳食纖維豐富的蔬菜水果以及粗糧的攝取,同時加強體育鍛煉。如果減重成功,黑棘皮病也能隨之而改善。
如果希望黑棘皮病改善效果更快,那麼可以看皮膚科醫生,再加上局部的對症治療,加速病變的消退。可能會建議外用維A酸類藥物(比如維A酸乳膏、阿達帕林凝膠)。有研究顯示,0.05%維A酸治2周後,所有黑棘皮病患者的外觀都有好轉,治療16周後,80%的患者病變完全消除,不過消除後還需要間歇性抹藥以防復發。
除了肥胖外,黑棘皮病還有其他的原因,也需要提高警惕。其中,就包括內分泌異常、藥物甚至癌症。
2.內分泌疾病
黑棘皮病是不少內分泌疾病在皮膚上的一種表現,雖然不是一一對應的關係,但胰島素抵抗、糖尿病、多囊卵巢綜合徵的羣體,相比普通人羣,會更容易出現黑棘皮病。
3.藥物副作用
少數黑棘皮病則是因為用藥後的皮膚副作用。這類相關的藥物包括系統使用糖皮質激素、注射胰島素、口服避孕藥、口服煙酸、蛋白質抑制劑、阿立哌唑、睾酮等。
4.惡性黑棘皮病
更罕見但也更嚴重的是癌症相關的黑棘皮病,也叫做“惡性黑棘皮病”。這種黑棘皮病常與體內惡性腫瘤的緊密相關,比如胃癌、胰腺癌、膽管癌等多種腹部腺癌。
如果出現下面的一些表現,那就要警惕有癌症的可能:
黑棘皮病短期內迅速出現
範圍很大,不僅限於脖子等個別部位
甚至黏膜、手掌、腳底都出現病變
伴隨有不明原因的消瘦
總之,遇到身邊(或自己)有黑棘皮病的時候,千萬不能掉以輕心,它所發出的健康警示不容忽視。要做的是及時就醫評估,尋找黑棘皮病背後的原因,看是單純的胖,還是另有隱情。
這些“髒脖子”,不是黑棘皮病
上面重點聊了黑棘皮病,想必不少人會擔心自己或自家的孩子是不是也有同樣的問題。
這裏要提醒一下,除了黑棘皮病外,還有不少其他問題,也表現為“髒脖子”(或“黑脖子”)。
1.曬黑
到了夏季,紫外線強烈,外加户外活動多,很多人容易被曬黑,脖子就是很常見的一個部位。
這是因為,防曬的時候,脖子容易被忽視。很多人沒有給後脖子做遮擋,也不塗抹防曬霜。如果塗抹防曬霜,但塗抹得不均勻、量不夠,或者户外活動超過2小時後忘記補塗,那麼也容易被曬黑。
曬黑的特點是後脖子為主,與周圍皮膚有明顯的分界線,衣服遮擋的皮膚比較正常,沒有遮住的就比較黑;並且皮膚的質地摸起來沒有異常,不會有粗糙和增厚的表現。
2.“髒頸徵”
有一種很常見的慢性濕疹,叫做特應性皮炎,它可能在脖子上出現一種叫做“髒頸徵”的特徵性皮膚表現。它的形成機制主要是與濕疹相關的慢性炎症和皮膚屏障功能不完善。
“髒頸徵”的外觀特點是脖子(尤其是前面或側面)是瀰漫性褐色或暗沉的斑片,表面可能伴有輕微粗糙或細小的皮屑。除此之外,患者皮膚本身容易有乾燥和瘙癢的表現,其他部位(比如手腕、手肘、腿彎)可能有反覆長濕疹的情況。
3.顆粒狀角化不全
這是一種偶有發生的皮膚問題,喜歡出現在腋窩、脖子等皮膚褶皺部位。某些化學物質可能誘發顆粒狀角化不全。

顆粒狀角化不全(來自參考資料)
它的表現有多種多樣,發黑反而不是主要特點,可能會有紅斑、丘疹、斑塊、皮屑、結痂,並可能伴有瘙癢。
總之,如果脖子變黑,不是變髒了,不是真的曬黑,那麼就要提高警惕,及時找醫生評估好治療,不要掉以輕心。
來源:科普中國
作者:唐教清 皮膚科主治醫師 中國科普作家協會會員